相关产品推荐更多 >
万千商家帮你免费找货
0 人在求购买到急需产品
- 详细信息
- 文献和实验
- 技术资料
- 免疫原:
Full length human recombinant protein of human PKLR (NP_000289) produced in HEK293T cell.
- 亚型:
IgG1
- 形态:
Liquid
- 保存条件:
Store as concentrated solution. Centrifuge briefly prior to opening vial. For short-term storage (1-2 weeks), store at 4ºC. For long-term storage, aliquot and store at -20ºC or below. Avoid multiple freeze-thaw cycles.
- 克隆性:
Monoclonal
- 标记物:
Unconjugated
- 适应物种:
Human, Monkey
- 保质期:
12 months from the shipping date of the product.
- 抗原来源:
Human
- 目录编号:
GTX83885
- 级别:
Primary Antibodies
- 库存:
Available
- 供应商:
GeneTex
- 宿主:
Mouse
- 应用范围:
WB
- 浓度:
1 mg/ml (Please refer to the vial label for the specific concentration.)
- 靶点:
Pyruvate Kinase (liver/RBC)
- 抗体英文名:
Pyruvate Kinase (liver/RBC) antibody [1A5]
- 抗体名:
Pyruvate Kinase (liver/RBC) 抗体 [1A5]
- 规格:
100 μl
WB analysis of HEK293T cells transfected with Pyruvate Kinase (liver/RBC) plasmid (Right) or empty vector (Left) for 48 hrs using GTX83885 Pyruvate Kinase (liver/RBC) antibody [1A5].
Loading : 5 ug per lane
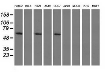
WB analysis of various cell lines using GTX83885 Pyruvate Kinase (liver/RBC) antibody [1A5].
Loading : 35 ug per lane
风险提示:丁香通仅作为第三方平台,为商家信息发布提供平台空间。用户咨询产品时请注意保护个人信息及财产安全,合理判断,谨慎选购商品,商家和用户对交易行为负责。对于医疗器械类产品,请先查证核实企业经营资质和医疗器械产品注册证情况。
文献和实验Notes on Making Rat x Y3 Monoclonal Antibody Producing Hybridomas
throughout the procedure. d) Plate the entire fusion out in just 120 x 1ml cultures in 6 x 'Linbro' 24 well plates, using DMEM + 20% FCS (containing penniclin + streptomicin, Na pyruvate and glutamine). e) DO NOT use Isoves medium (IMDM) as this will encourage
secondary antibody review -- data from 99 publications
cytometry used as a control to detect cell responses targeted antigen 7 Alexa Fluor 488 7 Cy3 8 goat IgG Alexa Fluor 488 1:2000 detect antibody binding in human embryonic kidney 293T cells Invitrogen 9 donkey
Pyrrolizidine alkaloid clivorine inhibits human normal liver L-02 cells growth and activates p38 mitogen-activated protein kinase in L-02 cellsAbstractClivorine, a pyrrolizidine alkaloid extracted from Chinese medicinal plant Ligularia hodgsonii
技术资料暂无技术资料 索取技术资料











