相关产品推荐更多 >
万千商家帮你免费找货
0 人在求购买到急需产品
- 详细信息
- 技术资料
- 免疫原:
E.coli-derived human FOSB recombinant protein (Position: M1-S332).
- 亚型:
IgG
- 形态:
Liquid
- 保存条件:
Store as concentrated solution. Centrifuge briefly prior to opening vial. For short-term storage (1-2 weeks), store at 4ºC. For long-term storage, aliquot and store at -20ºC or below. Avoid multiple freeze-thaw cycles.
- 克隆性:
Polyclonal
- 标记物:
Unconjugated
- 适应物种:
Human
- 保质期:
12 months from the shipping date of the product.
- 抗原来源:
Human
- 目录编号:
GTX03809
- 级别:
Primary Antibodies
- 库存:
Available
- 供应商:
GeneTex
- 宿主:
Rabbit
- 应用范围:
ICC/IF, IHC-P, ELISA
- 浓度:
0.5 mg/ml (Please refer to the vial label for the specific concentration.)
- 靶点:
Fos B
- 抗体英文名:
Fos B antibody
- 抗体名:
Fos B 抗体
- 规格:
100 μg
IHC-P analysis of human gallbladder adenocarcinoma tissue using GTX03809 Fos B antibody.
Antigen retrieval : Heat mediated antigen retrieval was performed in EDTA buffer (pH 8.0, epitope retrieval solution)
Dilution : 2 μg/ml
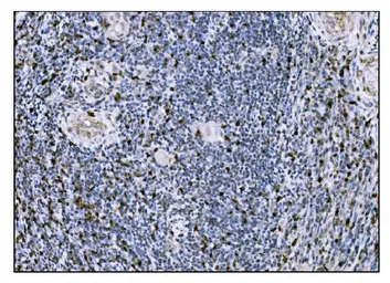
IHC-P analysis of human placenta tissue using GTX03809 Fos B antibody.
Antigen retrieval : Heat mediated antigen retrieval was performed in EDTA buffer (pH 8.0, epitope retrieval solution)
Dilution : 2 μg/ml
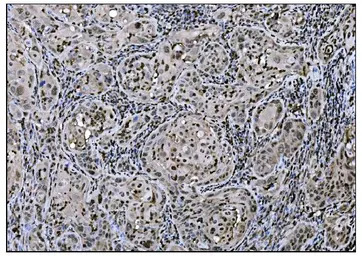
IHC-P analysis of human lung cancer tissue using GTX03809 Fos B antibody.
Antigen retrieval : Heat mediated antigen retrieval was performed in EDTA buffer (pH 8.0, epitope retrieval solution)
Dilution : 2 μg/ml
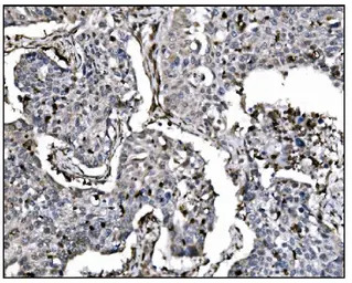
IHC-P analysis of human gallbladder adenocarcinoma tissue using GTX03809 Fos B antibody.
Antigen retrieval : Heat mediated antigen retrieval was performed in EDTA buffer (pH 8.0, epitope retrieval solution)
Dilution : 2 μg/ml
ICC/IF analysis of SiHa cells using GTX03809 Fos B antibody.
Green : Primary antibody
Blue : DAPI
Antigen retrieval : Enzyme antigen retrieval reagent for 15 mins
Dilution : 5 μg/ml
风险提示:丁香通仅作为第三方平台,为商家信息发布提供平台空间。用户咨询产品时请注意保护个人信息及财产安全,合理判断,谨慎选购商品,商家和用户对交易行为负责。对于医疗器械类产品,请先查证核实企业经营资质和医疗器械产品注册证情况。
技术资料暂无技术资料 索取技术资料








![Reelin antibody [G10]](https://img1.dxycdn.com/2022/0328/034/6614950646840800453-14.jpg!wh200)
![CD10 antibody [MEM-78] (PE)](https://img1.dxycdn.com/2022/0328/222/7691665596815500453-14.bmp!wh200)
