相关产品推荐更多 >
万千商家帮你免费找货
0 人在求购买到急需产品
- 详细信息
- 文献和实验
- 技术资料
- 免疫原:
Human recombinant protein fragment corresponding to amino acids 1-150 of human TUBB3 (NP_006077) produced in E.coli.
- 亚型:
IgG1
- 形态:
Liquid
- 保存条件:
Store as concentrated solution. Centrifuge briefly prior to opening vial. For short-term storage (1-2 weeks), store at 4ºC. For long-term storage, aliquot and store at -20ºC or below. Avoid multiple freeze-thaw cycles.
- 克隆性:
Monoclonal
- 标记物:
Unconjugated
- 适应物种:
Human, Mouse, Rat, Dog, Monkey
- 保质期:
12 months from the shipping date of the product.
- 抗原来源:
Human
- 目录编号:
GTX83460
- 级别:
Primary Antibodies
- 库存:
Available
- 供应商:
GeneTex
- 宿主:
Mouse
- 应用范围:
WB
- 浓度:
1 mg/ml (Please refer to the vial label for the specific concentration.)
- 靶点:
beta Tubulin 3/ Tuj1
- 抗体英文名:
beta Tubulin 3/ Tuj1 antibody [5H2]
- 抗体名:
beta Tubulin 3/ Tuj1 抗体 [5H2]
- 规格:
100 μl
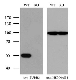
WB analysis of wild type and beta Tubulin 3/ Tuj1 knock out HeLa cell lysate(10μg per lane) using GTX83460 beta Tubulin 3/ Tuj1 antibody [5H2].
Dilution : 1:500
WB analysis of HEK293T cells transfected with beta Tubulin 3/ Tuj1 plasmid (Right) or empty vector (Left) for 48 hrs using GTX83460 beta Tubulin 3/ Tuj1 antibody [5H2].
Loading : 5 ug per lane
WB analysis of various cell lines using GTX83460 beta Tubulin 3/ Tuj1 antibody [5H2].
Loading : 35 ug per lane
风险提示:丁香通仅作为第三方平台,为商家信息发布提供平台空间。用户咨询产品时请注意保护个人信息及财产安全,合理判断,谨慎选购商品,商家和用户对交易行为负责。对于医疗器械类产品,请先查证核实企业经营资质和医疗器械产品注册证情况。
文献和实验Immunofluorescent Localization of Tubulin
antibody to tubulin) FITC-labeled goat anti-rabbit (or secondary antibody to match the primary) Fluorescence Mounting Media Fluorescent Microscope equipped with 490 nm excitation filter and 515 nmbarrier filter Kodachrome film
Immunofluorescent Localization of Tubulin
Rabbit anti-tubulin (or other primary antibody to tubulin) FITC-labeled goat anti-rabbit (or secondary antibody to match the primary) Fluorescence Mounting Media Fluorescent Microscope equipped with 490 nm excitation filter
for this purpose. Grow cells in 200 mls of YPD at 30oC to an OD 600 of 1. Add formaldehyde to the 200 ml culture to a final concentration of 3.7. Fix for 1 hour at room temperature with shaking. Centrifuge cells at 3000 X g. Resuspend
技术资料暂无技术资料 索取技术资料







![BUB1B antibody [11G2]](https://img1.dxycdn.com/2022/0328/543/3363785828878500453-14.jpg!wh200)



