相关产品推荐更多 >
万千商家帮你免费找货
0 人在求购买到急需产品
- 详细信息
- 文献和实验
- 技术资料
- 免疫原:
Purified recombinant fragment of NT5E expressed in E. Coli.
- 亚型:
IgG1
- 形态:
Liquid
- 保存条件:
Store as concentrated solution. Centrifuge briefly prior to opening vial. For short-term storage (1-2 weeks), store at 4ºC. For long-term storage, aliquot and store at -20ºC or below. Avoid multiple freeze-thaw cycles.
- 克隆性:
Monoclonal
- 标记物:
Unconjugated
- 适应物种:
Human
- 保质期:
12 months from the shipping date of the product.
- 抗原来源:
Human
- 目录编号:
GTX83363
- 级别:
Primary Antibodies
- 库存:
Available
- 供应商:
GeneTex
- 宿主:
Mouse
- 应用范围:
IHC-P, ELISA
- 靶点:
CD73
- 抗体英文名:
CD73 antibody [1D7]
- 抗体名:
CD73 抗体 [1D7]
- 规格:
100 μl
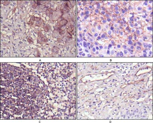
IHC-P analysis of human lung cancer (A), cholangiocarcinorna (B), lymph node (C) and esophagus (D) tissue using GTX83363 CD73 antibody [1D7].
风险提示:丁香通仅作为第三方平台,为商家信息发布提供平台空间。用户咨询产品时请注意保护个人信息及财产安全,合理判断,谨慎选购商品,商家和用户对交易行为负责。对于医疗器械类产品,请先查证核实企业经营资质和医疗器械产品注册证情况。
文献和实验(1 ). In our laboratory, we have developed methods to immortalize specific antibody-producing cells by fusing secreting EBV-activated lymphocytes to mouse-human heteromyeloma cell lines with electrofusion, followed by cloning (2 ). This methodology has allowed
Barry FP, et al. The monoclonal antibody SH-2, raised against human mesenchymal stem cells, recognizes an epitope on endoglin (CD105). Biochem.Biophys.Res
技术资料暂无技术资料 索取技术资料






![CD71 antibody [DF1513] (PE)](https://img1.dxycdn.com/2022/0328/163/2992828405534400453-14.jpg!wh200)

![alpha Tubulin antibody [TU-01]](https://img1.dxycdn.com/2022/0328/623/4781322693020400453-14.jpg!wh200)


