相关产品推荐更多 >
万千商家帮你免费找货
0 人在求购买到急需产品
- 详细信息
- 文献和实验
- 技术资料
- 免疫原:
Purified recombinant fragment of SRA expressed in E. Coli.
- 亚型:
IgG1
- 形态:
Liquid
- 保存条件:
Store as concentrated solution. Centrifuge briefly prior to opening vial. For short-term storage (1-2 weeks), store at 4ºC. For long-term storage, aliquot and store at -20ºC or below. Avoid multiple freeze-thaw cycles.
- 克隆性:
Monoclonal
- 标记物:
Unconjugated
- 适应物种:
Human
- 保质期:
12 months from the shipping date of the product.
- 抗原来源:
Human
- 目录编号:
GTX83332
- 级别:
Primary Antibodies
- 库存:
Available
- 供应商:
GeneTex
- 宿主:
Mouse
- 应用范围:
WB, IHC-P, ELISA
- 靶点:
SRA
- 抗体英文名:
SRA antibody [1D4H8]
- 抗体名:
SRA 抗体 [1D4H8]
- 规格:
100 μl
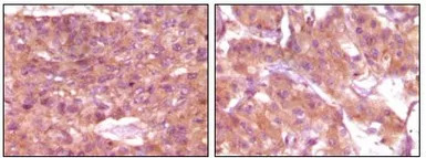
IHC-P analysis of human skin carcinoma (left) and breast carcinoma (right) using GTX83332 SRA antibody [1D4H8].
WB analysis of truncated SRA recombinant protein (1), human ovary cancer tissue lysate (2) and A431 cell lysate (3) using GTX83332 SRA antibody [1D4H8].
风险提示:丁香通仅作为第三方平台,为商家信息发布提供平台空间。用户咨询产品时请注意保护个人信息及财产安全,合理判断,谨慎选购商品,商家和用户对交易行为负责。对于医疗器械类产品,请先查证核实企业经营资质和医疗器械产品注册证情况。
文献和实验总蛋白(包括质膜和细胞器膜蛋白),但费时费力。目前,有一种最新型有效的膜蛋白提取工具,并具有高纯度、高特异性、高载量温和提取的优点。是基于1980年科学家在牛眼视网膜中发现的一种命名为Rho1D4的氨基酸序列以及其对应的抗体来作为亲和标签纯化膜蛋白取得了非常好的效果,将Rho1D4抗体链接在琼脂糖或磁珠上,用于亲和层析带有Rho1D4标签的膜蛋白,能近乎完美的解决这些研究难题。1) 什么是Rho1D4?Rho1D4是指在牛眼视网膜细胞内的牛视紫红质C端的最后九位氨基酸。Rho1D4得名于与该序列
and some B cell malignancies Negative staining: normal B cells CD1d Positive staining (normal): thymus (low levels), bowel ELISA KIT & ANTIBODY OF USCNLIFE
小鼠血小板衍化生长因子(PDGF sRa)ELISA试剂盒 说明书
上海西唐生物科技有限公司 021-55229872, 65333639 www.westang.com 小鼠血小板衍化生长因子 (PDGF sRa)ELISA 试剂盒 ( 用于血清、血浆、细胞培养上清液和其它生物体液内 ) 原理 本实验采用双抗体夹心 ABC-ELISA 法。用抗小鼠 PDGF sRa 单抗包被于酶标板上,标准品和样品中的 PDGF sRa与单抗结合
技术资料暂无技术资料 索取技术资料






![CETP antibody [ATM192]](https://img1.dxycdn.com/2022/0328/477/7898016341309300453-14.jpg!wh200)


![ATP2C1 antibody [4G12]](https://img1.dxycdn.com/2022/0328/051/3430480952087500453-14.jpg!wh200)

