相关产品推荐更多 >
万千商家帮你免费找货
0 人在求购买到急需产品
- 详细信息
- 文献和实验
- 技术资料
- 免疫原:
Synthetic peptide corresponding to aa (EPANPSEKNSPSTQY) of human CD20,conjugated to KLH.
- 亚型:
IgG
- 形态:
Liquid
- 保存条件:
Store as concentrated solution. Centrifuge briefly prior to opening vial. For short-term storage (1-2 weeks), store at 4ºC. For long-term storage, aliquot and store at -20ºC or below. Avoid multiple freeze-thaw cycles.
- 克隆性:
Monoclonal
- 标记物:
Unconjugated
- 适应物种:
Human
- 保质期:
12 months from the shipping date of the product.
- 抗原来源:
Human
- 目录编号:
GTX83206
- 级别:
Primary Antibodies
- 库存:
Available
- 供应商:
GeneTex
- 宿主:
Mouse
- 应用范围:
ICC/IF, IHC-P, ELISA
- 靶点:
CD20
- 抗体英文名:
CD20 antibody [3E9D3C1G3]
- 抗体名:
CD20 抗体 [3E9D3C1G3]
- 规格:
100 μl
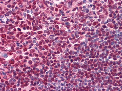
IHC-P analysis of human Tonsil tissue using GTX83206 CD20 antibody [3E9D3C1G3].
ICC/IF analysis of B lymphocytes using GTX83206 CD20 antibody [3E9D3C1G3].
风险提示:丁香通仅作为第三方平台,为商家信息发布提供平台空间。用户咨询产品时请注意保护个人信息及财产安全,合理判断,谨慎选购商品,商家和用户对交易行为负责。对于医疗器械类产品,请先查证核实企业经营资质和医疗器械产品注册证情况。
文献和实验membrane, creating a structure similar to an ion channel Delivers early signal in B cell activation, allowing resting B cells to respond to later antigens Rituximab is a chimeric murine-human anti-CD20 antibody used for treatment of B cell
of a mouse-human chimeric monoclonal antibody to Cd20 with potent Fc-dependent biologic activity. J.Immunol.,1987,139:3521[4]Press ow,Farr AG,Borroz KI,et al. Endocytosis and degradation of monoclonal antibodies targeting human B-celll malignancies. Cancer
大鼠可溶性CD20分子(sCD20)ELISA试剂盒 说明书
上海西唐生物科技有限公司 021-55229872, 65333639 www.westang.com 大鼠可溶性 CD20 分子 (sCD20)ELISA 试剂盒 ( 用于血清、血浆、细胞培养上清液和生物体液内 ) 原理 本实验采用双抗体夹心 ABC-ELISA 法。用抗大鼠 sCD20 单抗包被于酶标板上,标准品和样品中的 sCD20 与单抗结合,加入生物素化的抗大鼠 sCD20
技术资料暂无技术资料 索取技术资料











