相关产品推荐更多 >
万千商家帮你免费找货
0 人在求购买到急需产品
- 详细信息
- 文献和实验
- 技术资料
- 免疫原:
Purified recombinant fragment of human CTNNB1 expressed in E. Coli.
- 亚型:
IgG1
- 形态:
Liquid
- 保存条件:
Store as concentrated solution. Centrifuge briefly prior to opening vial. For short-term storage (1-2 weeks), store at 4ºC. For long-term storage, aliquot and store at -20ºC or below. Avoid multiple freeze-thaw cycles.
- 克隆性:
Monoclonal
- 标记物:
Unconjugated
- 适应物种:
Human
- 保质期:
12 months from the shipping date of the product.
- 抗原来源:
Human
- 目录编号:
GTX83185
- 级别:
Primary Antibodies
- 库存:
Available
- 供应商:
GeneTex
- 宿主:
Mouse
- 应用范围:
WB, ICC/IF, IHC-P, FACS, ELISA
- 靶点:
beta Catenin
- 抗体英文名:
beta Catenin antibody [4D5]
- 抗体名:
beta Catenin 抗体 [4D5]
- 规格:
100 μl
WB analysis of beta Catenin -hIgGFc transfected HEK293 cell lysate using GTX83185 beta Catenin antibody [4D5].
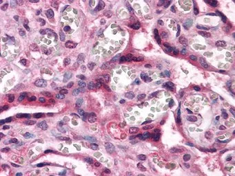
IHC-P analysis of human Placenta tissue using GTX83185 beta Catenin antibody [4D5].
ICC/IF analysis of A549 (left) and SK-BR-3 (right) cells using GTX83185 beta Catenin antibody [4D5].
Green : beta Catenin
Blue: DRAQ5 fluorescent DNA dye
Red: Actin filaments
FACS analysis of A549 cells using GTX83185 beta Catenin antibody [4D5].
Green : beta Catenin
Purple : negative control
风险提示:丁香通仅作为第三方平台,为商家信息发布提供平台空间。用户咨询产品时请注意保护个人信息及财产安全,合理判断,谨慎选购商品,商家和用户对交易行为负责。对于医疗器械类产品,请先查证核实企业经营资质和医疗器械产品注册证情况。
文献和实验liqiuling 怎么才能获取beta catenin的基因? chuckdouble pubmed里面有Nucleotide.到那里找. liqiuling 不太会看,而且合成的话,很贵,想知道如果想获得别人的惠赠,该怎样做?哪位大侠支个招?不胜感激! lmnsmu 在NCBI的核酸库中找到其序列,然后设计引物,通过RT-PCR扩增获得该基因
familar 小妹困惑,在此请教大师! 做了几次beta-catenin的表达(western),都没做出来,目的蛋白的分子量是92,可是,做出来的印记总是在下方,明显的不是目的蛋白的位置。我师兄说,做beta-catenin要提核蛋白才能做出来,可我之前也有做出来过的!请教各位有经验的同志,这样的现象是何解? woxingwosu 不一定要提核蛋白才能出来。b-catenin在核内核外都有分布。应该
【求助】细胞里的beta catenin 好检测吗?? 用 western blot
antonio2001 细胞里的beta catenin 好检测吗?? 用 western blot 和免疫细胞化学 ?? 2008851029 细胞里的beta-actin非常好检测(我用的是ST的抗体) littlebee83325 什么细胞呢?胞浆蛋白么? magichunter beta catenin 好检测,细胞全蛋白裂解液上样20uL(15
技术资料暂无技术资料 索取技术资料






![IFNAR1 antibody [MAR1-5A3]](https://img1.dxycdn.com/2022/0329/999/6123474645534020453-14.jpg!wh200)


![CDK8 antibody [C3], C-term](https://img1.dxycdn.com/2022/0328/917/1998720467138200453-14.jpg!wh200)

