相关产品推荐更多 >
万千商家帮你免费找货
0 人在求购买到急需产品
- 详细信息
- 文献和实验
- 技术资料
- 免疫原:
Purified recombinant fragment of gamma Synuclein expressed in E. Coli.
- 亚型:
IgG1
- 形态:
Liquid
- 保存条件:
Store as concentrated solution. Centrifuge briefly prior to opening vial. For short-term storage (1-2 weeks), store at 4ºC. For long-term storage, aliquot and store at -20ºC or below. Avoid multiple freeze-thaw cycles.
- 克隆性:
Monoclonal
- 标记物:
Unconjugated
- 适应物种:
Human
- 保质期:
12 months from the shipping date of the product.
- 抗原来源:
Human
- 目录编号:
GTX83156
- 级别:
Primary Antibodies
- 库存:
Available
- 供应商:
GeneTex
- 宿主:
Mouse
- 应用范围:
WB, IHC-P, ELISA
- 靶点:
gamma Synuclein
- 抗体英文名:
gamma Synuclein antibody [1H10D2]
- 抗体名:
gamma Synuclein 抗体 [1H10D2]
- 规格:
100 μl
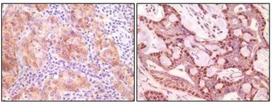
IHC-P analysis of human ovary carcinoma (left) and breast carcinoma (right) using GTX83156 gamma Synuclein antibody [1H10D2].
WB analysis of truncated Synuclein recombinant protein using GTX83156 gamma Synuclein antibody [1H10D2].
风险提示:丁香通仅作为第三方平台,为商家信息发布提供平台空间。用户咨询产品时请注意保护个人信息及财产安全,合理判断,谨慎选购商品,商家和用户对交易行为负责。对于医疗器械类产品,请先查证核实企业经营资质和医疗器械产品注册证情况。
文献和实验人α-突触核蛋白(a-Synuclein)ELISA试剂盒 说明书
上海西唐生物科技有限公司 021-55229872, 65333639 www.westang.com 人 α- 突触核蛋白 ( a -Synuclein)ELISA 试剂盒 ( 用于血清、血浆、细胞培养上清液和其它生物体液内 ) 原理 本实验采用双抗体夹心 ABC-ELISA 法。用抗人 a -Synuclein 单抗包被于酶标板上,标准品和样品中的
secondary antibody review -- data from 99 publications
cytometry used as a control to detect cell responses targeted antigen 7 Alexa Fluor 488 7 Cy3 8 goat IgG Alexa Fluor 488 1:2000 detect antibody binding in human embryonic kidney 293T cells Invitrogen 9 donkey
Coating of Platelets with Antibody in vitro
OUTLINE Antibody-coated platelets (opsnized) may be used in the subsequent thrombophagocytosis assay. PROTOCOL Resuspend 1.6x10^8 of CMFDA-labeled platelets in 200µl of BSGC-BSA (v/w 1%) either with a control Ab
技术资料暂无技术资料 索取技术资料





![NFkB p100/p52 antibody [N1N3]](https://img1.dxycdn.com/2022/0328/591/9027079263083200453-14.jpg!wh200)

![S100 antibody [4C4.9]](https://img1.dxycdn.com/2022/0328/775/0920458370739300453-14.jpg!wh200)

![MyoD1 antibody [MSVA-801R] HistoMAX](https://custom.dxycdn.com/trademd/upload/pic/2013/11/12/A1383891150.jpg!small.t.1)

