相关产品推荐更多 >
万千商家帮你免费找货
0 人在求购买到急需产品
- 详细信息
- 文献和实验
- 技术资料
- 免疫原:
Recombinant human BSG protein
- 亚型:
IgG1
- 形态:
Liquid
- 保存条件:
Store as concentrated solution. Centrifuge briefly prior to opening vial. For short-term storage (1-2 weeks), store at 4ºC. For long-term storage, aliquot and store at -20ºC or below. Avoid multiple freeze-thaw cycles.
- 克隆性:
Monoclonal
- 标记物:
Unconjugated
- 适应物种:
Human
- 保质期:
12 months from the shipping date of the product.
- 抗原来源:
Human
- 目录编号:
GTX34463
- 级别:
Primary Antibodies
- 库存:
Available
- 供应商:
GeneTex
- 宿主:
Mouse
- 应用范围:
IHC-P
- 浓度:
0.2 mg/ml (Please refer to the vial label for the specific concentration.)
- 靶点:
This MAb recognizes extracellular epitope of human CD147.
- 抗体英文名:
CD147 antibody [BSG/963]
- 抗体名:
CD147 抗体 [BSG/963]
- 规格:
100 μg
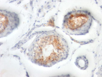
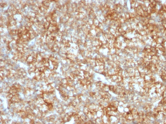
IHC-P analysis of human testicular carcinoma tissue using GTX34463 CD147 antibody [BSG/963].
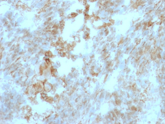
IHC-P analysis of human colon carcinoma tissue using GTX34463 CD147 antibody [BSG/963].
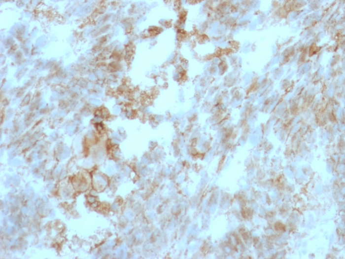
IHC-P analysis of human renal cell carcinoma tissue using GTX34463 CD147 antibody [BSG/963].
风险提示:丁香通仅作为第三方平台,为商家信息发布提供平台空间。用户咨询产品时请注意保护个人信息及财产安全,合理判断,谨慎选购商品,商家和用户对交易行为负责。对于医疗器械类产品,请先查证核实企业经营资质和医疗器械产品注册证情况。
文献和实验[资源] 所有的看家基因(housekeeping genes)列表+引物设计服务
Homo sapiens matrix metalloproteinase-like 1 (MMPL1), mRNA 695 NM_001950 Homo sapiens E2F transcription factor 4, p107/p130-binding (E2F4), mRNA 956 NM_003815 Homo sapiens a disintegrin and metalloproteinase domain 15 (metargidin) (ADAM15), mRNA
a subset of genomic DNA sequences of type 5'-(NNN )3 -3', whereas the 6ZF library would recognize a subset of genomic sequences of type 5'-(NNN )6 -3'. Given the zinc-finger domains used, both libraries were more likely to recognize (RNN)x -type sequences
Phage‐Based Expression Cloning to Identify Interacting Proteins
the interacting protein. This technique leads directly to the isolation of a cDNA encoding the interacting protein, bypassing the need for labor?intensive protein purification, microsequencing, or antibody production.
技术资料暂无技术资料 索取技术资料





![MCM2 antibody [2B3]](https://img1.dxycdn.com/2022/0328/212/1859991880303500453-14.jpg!wh200)
![Respiratory Syncytial virus Nucleoprotein antibody [8B10]](https://img1.dxycdn.com/2022/0328/200/5815526098623200453-14.jpg!wh200)
![LRP1 antibody [A2Mr alpha-2]](https://img1.dxycdn.com/2022/0329/155/3212045459426020453-14.jpg!wh200)

![Rb antibody [SPM353]](https://img1.dxycdn.com/2022/0328/483/8873005652501700453-14.jpg!wh200)

