相关产品推荐更多 >
万千商家帮你免费找货
0 人在求购买到急需产品
- 详细信息
- 文献和实验
- 技术资料
- 免疫原:
Purified recombinant fragment of Cytokeratin 5 expressed in E. Coli.
- 亚型:
IgG1
- 形态:
Liquid
- 保存条件:
Store as concentrated solution. Centrifuge briefly prior to opening vial. For short-term storage (1-2 weeks), store at 4ºC. For long-term storage, aliquot and store at -20ºC or below. Avoid multiple freeze-thaw cycles.
- 克隆性:
Monoclonal
- 标记物:
Unconjugated
- 适应物种:
Human
- 保质期:
12 months from the shipping date of the product.
- 抗原来源:
Human
- 目录编号:
GTX83116
- 级别:
Primary Antibodies
- 库存:
Available
- 供应商:
GeneTex
- 宿主:
Mouse
- 应用范围:
ICC/IF, IHC-P, ELISA
- 靶点:
pan Cytokeratin
- 抗体英文名:
pan Cytokeratin antibody [7H8]
- 抗体名:
pan Cytokeratin 抗体 [7H8]
- 规格:
100 μl
ICC/IF analysis of methanol-fixed Eca-109 cells using GTX83116 pan Cytokeratin antibody [7H8].
Green : pan Cytokeratin
Blue: DRAQ5 fluorescent DNA dye
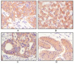
IHC-P analysis of human lung squamous cell carcinoma (A),normal hepatocyte (B), colon adenocacinoma, normal stomach tissue (D) using GTX83116 pan Cytokeratin antibody [7H8].
风险提示:丁香通仅作为第三方平台,为商家信息发布提供平台空间。用户咨询产品时请注意保护个人信息及财产安全,合理判断,谨慎选购商品,商家和用户对交易行为负责。对于医疗器械类产品,请先查证核实企业经营资质和医疗器械产品注册证情况。
文献和实验上皮及间皮类常用标记抗体EPITHELIAL AND MESOTHELIAL MARKERSCK (MNF 116)- MNF-116 is a pan-cytokeratin antibody.- Source: Dakopatts.- Dilution 1:50.- Antigen retrieval method: HIER (pressure cooking) using EDTA.- Staining pattern: Cytoplasmic, typically
licanming 我的实验是用VEGF处理细胞后测定细胞PKC激活水平,拟采用Western blot的方法,用ECL法检测,这样分析PKC激活程度结果国际上认可吗? 我在Cell Signaling Technology上,查到 2261 Phospho-(Ser) PKC Substrate Antibody W IP E D 9371 Phospho-PKC (pan) (betaII Ser660) Antibody W IP
【求助】谁有兔抗Paxillin和鼠抗phorsphotyrosine
-Acetylated Lysine Antibody-FITC IBN4010 Acetyl-RhoGDI (K141) Antibody IBN4011 Acetyl-PPIA (K124) Antibody IBN4005 e-Methylated Lysine Antibody IBN4008 Pan e-Trimethylysine Antibody IBN4009 Pan e-Trimethylysine Antibody-FITC IBN4003
技术资料暂无技术资料 索取技术资料







![CD16 antibody [LNK16] (FITC)](https://img1.dxycdn.com/2022/0328/006/8515550172454500453-14.jpg!wh200)


