相关产品推荐更多 >
万千商家帮你免费找货
0 人在求购买到急需产品
- 详细信息
- 文献和实验
- 技术资料
- 免疫原:
KLH-conjugated synthetic peptide encompassing a sequence within the center region of ACE. The exact sequence is proprietary.
- 亚型:
IgG
- 形态:
Liquid
- 保存条件:
Store as concentrated solution. Centrifuge briefly prior to opening vial. For short-term storage (1-2 weeks), store at 4ºC. For long-term storage, aliquot and store at -20ºC or below. Avoid multiple freeze-thaw cycles.
- 克隆性:
Polyclonal
- 标记物:
Unconjugated
- 适应物种:
Human, Mouse, Rat
- 保质期:
12 months from the shipping date of the product.
- 抗原来源:
Human
- 目录编号:
GTX54938
- 级别:
Primary Antibodies
- 库存:
Available
- 供应商:
GeneTex
- 宿主:
Rabbit
- 应用范围:
WB, IHC-P
- 浓度:
Batch dependent (Please refer to the vial label for the specific concentration.)
- 靶点:
ACE
- 抗体英文名:
ACE antibody
- 抗体名:
ACE 抗体
- 规格:
100 μl
WB analysis of HeLa (A), mouse kidney (B), rat liver (C), PC12 (D) whole cell lysates using GTX54938 ACE antibody.
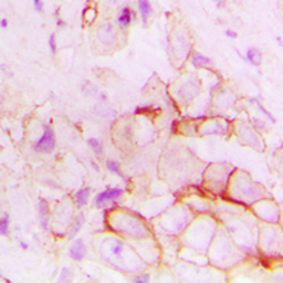
IHC-P analysis of formalin fixed human breast cancer tissue section using GTX54938 ACE antibody.
Antigen retrieval : Heat mediated antigen retrieval with sodium citrate buffer (pH 6.0)
风险提示:丁香通仅作为第三方平台,为商家信息发布提供平台空间。用户咨询产品时请注意保护个人信息及财产安全,合理判断,谨慎选购商品,商家和用户对交易行为负责。对于医疗器械类产品,请先查证核实企业经营资质和医疗器械产品注册证情况。
文献和实验管区带电泳(CZE); 毛细管胶束电动色谱(MEKC); 毛细管凝胶电泳(CGE); 毛细管等电聚焦(CIEF); 毛细管等速电泳(CITP); 亲和毛细管电泳(ACE); 毛细管电色谱(CEC); 非水相毛细管电泳(NACE)。 五、分离模式的选择 CE可以分离离子到中性分子、从小分子到生物大分子的一系列物质。之所以能分离如此广泛的物质,在于其灵活多样的分离体系。对不同性质的物质,应选择相应的分离体系: 分离对象与模式的选择 六、毛细管电泳与凝胶电泳、高效液相色谱的比较
Accessing HLA Sequencing Data Through the 6ace Database
The chromosome 6 database (6ace) is one of a suite of databases available at the Sanger Centre, which serve the human genome sequencing communities of several chromosomes (1, 6, 20, 22, and X). Data may be retrieved in graphical or textural
Quantification of Angiotensin-Converting Enzyme (ACE) Activity
Angiotensin-converting enzyme (ACE) is a dipeptidyl carboxypeptidase (EC 3.4.15.1) whose physiologic action is the conversion of AI to AII, and as such, it plays an important role in the regulation of blood pressure and fluid balance. ACE
技术资料暂无技术资料 索取技术资料





![ADFP antibody [DBM15.60]](https://img1.dxycdn.com/2022/0328/122/1334012206490800453-14.jpg!wh200)





