相关产品推荐更多 >
万千商家帮你免费找货
0 人在求购买到急需产品
- 详细信息
- 文献和实验
- 技术资料
- 免疫原:
Purified recombinant fragment of human GSTP1 expressed in E. Coli.
- 亚型:
IgG1
- 形态:
Liquid
- 保存条件:
Store as concentrated solution. Centrifuge briefly prior to opening vial. For short-term storage (1-2 weeks), store at 4ºC. For long-term storage, aliquot and store at -20ºC or below. Avoid multiple freeze-thaw cycles.
- 克隆性:
Monoclonal
- 标记物:
Unconjugated
- 适应物种:
Human
- 保质期:
12 months from the shipping date of the product.
- 抗原来源:
Human
- 目录编号:
GTX83077
- 级别:
Primary Antibodies
- 库存:
Available
- 供应商:
GeneTex
- 宿主:
Mouse
- 应用范围:
WB, ICC/IF, IHC-P, FACS, ELISA
- 靶点:
GSTP1
- 抗体英文名:
GSTP1 antibody [3F2C2]
- 抗体名:
GSTP1 抗体 [3F2C2]
- 规格:
100 μl
WB analysis of PC3 cell lysate (1) and human cerebellum tissue lysate (2) using GTX83077 GSTP1 antibody [3F2C2].
ICC/IF analysis of PC-3 cells using GTX83077 GSTP1 antibody [3F2C2].
Green : GSTP1
Blue: DRAQ5 fluorescent DNA dye
ICC/IF analysis of HepG2 (left) and L-02 (right) cells using GTX83077 GSTP1 antibody [3F2C2].
Green : GSTP1
Blue: DRAQ5 fluorescent DNA dye
Red: Actin filaments
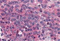
IHC-P analysis of human prostate tissue using GTX83077 GSTP1 antibody [3F2C2].
WB analysis of HEK293T cells transfected with the pCMV6-ENTRY control (1) and pCMV6-ENTRY GSTP1 cDNA (2) using GTX83077 GSTP1 antibody [3F2C2].
FACS analysis of K562 cells using GTX83077 GSTP1 antibody [3F2C2].
Green : GSTP1
Purple : negative control
风险提示:丁香通仅作为第三方平台,为商家信息发布提供平台空间。用户咨询产品时请注意保护个人信息及财产安全,合理判断,谨慎选购商品,商家和用户对交易行为负责。对于医疗器械类产品,请先查证核实企业经营资质和医疗器械产品注册证情况。
文献和实验that likely serve as substrates for this transporter. In this procedure, monoclonal antibodies directed either against an epitope within ABCA4 (Rim 3F4 antibody) or against the 9 amino acid 1D4 epitope tag engineered onto the C-terminus
Cloning and Expression of Single-Chain Fragments (scFv) from Mouse and Rat Hybridomas
For cloning and expressing the antigen-binding variable (Fv) portion of an antibody in Escherzchia coli , vectors have been constructed that combine the two variable regions (VH and VL ) with a peptide linker (1 –3 ). The genetic
ELISPOT (Enzyme-linked ImmunoSPOT)
A 88-7370 eBio17CK15A5 eBio17B7 TNF-α 88-7328 1F3F3D4 mAb Cocktail Table 2: Human ELISPOT Ready-Set-Go! Sets & Antibody Selection Quick Guide
技术资料暂无技术资料 索取技术资料









![TDG antibody [GT622]](https://img1.dxycdn.com/2022/0329/347/4583271543706020453-14.jpg!wh200)
