相关产品推荐更多 >
万千商家帮你免费找货
0 人在求购买到急需产品
- 详细信息
- 文献和实验
- 技术资料
- 免疫原:
Carrier-protein conjugated synthetic peptide encompassing a sequence within the C-terminus region of human Glutaminase C (GAC). The exact sequence is proprietary.
- 亚型:
IgG1
- 形态:
Liquid
- 保存条件:
Store as concentrated solution. Centrifuge briefly prior to opening vial. For short-term storage (1-2 weeks), store at 4ºC. For long-term storage, aliquot and store at -20ºC or below. Avoid multiple freeze-thaw cycles.
- 克隆性:
Monoclonal
- 标记物:
Unconjugated
- 适应物种:
Human, Mouse
- 保质期:
12 months from the shipping date of the product.
- 抗原来源:
Human
- 目录编号:
GTX632317
- 级别:
Primary Antibodies
- 库存:
Available
- 供应商:
GeneTex
- 宿主:
Mouse
- 应用范围:
WB, ICC/IF, IHC-P
- 浓度:
1 mg/ml (Please refer to the vial label for the specific concentration.)
- 靶点:
Specific for GAC but not KGA isoform
- 抗体英文名:
Glutaminase C (GAC) antibody [GT3211]
- 抗体名:
Glutaminase C (GAC) 抗体 [GT3211]
- 规格:
100 μl/25 μl
| 规格: | 100 μl | 产品价格: | ¥4000.0 |
|---|---|---|---|
| 规格: | 25 μl | 产品价格: | ¥1700.0 |
Glutaminase C (GAC) antibody [GT3211] detects Glutaminase C (GAC) protein by western blot analysis. Various whole cell extracts (30 μg) were separated by 7.5% SDS-PAGE, and the membrane was blotted with Glutaminase C (GAC) antibody [GT3211] (GTX632317) diluted at a dilution of 1:1000.
Glutaminase C antibody [GT3211] detects Glutaminase C protein at mitochondria by immunofluorescent analysis.
Sample: A549 cells were fixed in 4% PFA at RT for 15 min.
Green: Glutaminase C protein stained by Glutaminase C antibody [GT3211] (GTX632317) diluted at 1:200.
Blue: Hoechst 33342 staining.
Scale bar = 10 μm.
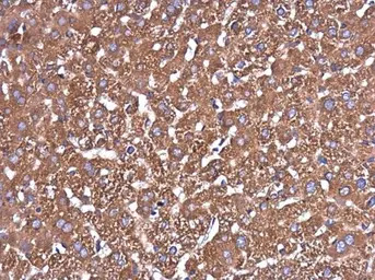
Glutaminase C antibody [GT3211] detects Glutaminase C protein at cytoplasm in mouse liver by immunohistochemical analysis.
Sample: Paraffin-embedded mouse liver.
Glutaminase C antibody [GT3211] (GTX632317) diluted at 1:250.
Antigen Retrieval: Citrate buffer, pH 6.0, 15 min
风险提示:丁香通仅作为第三方平台,为商家信息发布提供平台空间。用户咨询产品时请注意保护个人信息及财产安全,合理判断,谨慎选购商品,商家和用户对交易行为负责。对于医疗器械类产品,请先查证核实企业经营资质和医疗器械产品注册证情况。
文献和实验IMMUNOSCREENING OF LAMBDA-GT11 BACTERIOPHAGE LIBRARIES WITH ANTIBODY PROBES
,000 pfus of lambda-gt11 (diluted in TMG) in glass test tubes and incubate at 37 - 42°C for 15 minutes without shaking. Plate this mixture with 7 - 7.5 ml top agar per 150 mm Petri dish. Let the dishes sit on the lab bench for about 5 minutes
IMMUNOSCREENING OF WITH ANTIBODY PROBES
in 10mM IPTG (MW=238.31). Briefly blot the excess solution from the filters, and wrap them in cellophane. These should be moist and stored at 4°C. We typically adsorb serum with five 150 mm Petri dishes of lysed E. coli to reduce anti-E. coli antibody
Expression and Preparation of Fusion Proteins from Recombinant gt1.1 Phages
The phage λgt1.1 system has become increasingly popular for expression of cDNAs or genomic DNAs either in phage plaques or in bacteria lysogenized with recombinant phages (1 ,2 ). It offers the advantages of high cloning efficiency, high
技术资料暂无技术资料 索取技术资料








![Annexin A1 antibody [ANXA1/3869R]](https://img1.dxycdn.com/2022/0328/167/2508212713269700453-14.jpg!wh200)
![CD16b antibody [07]](https://img1.dxycdn.com/2022/0328/322/6023586116008700453-14.png!wh200)

