相关产品推荐更多 >
万千商家帮你免费找货
0 人在求购买到急需产品
- 详细信息
- 文献和实验
- 技术资料
- 免疫原:
Purified recombinant fragment of human ETS1 expressed in E. Coli.
- 亚型:
IgG1
- 形态:
Liquid
- 保存条件:
Store as concentrated solution. Centrifuge briefly prior to opening vial. For short-term storage (1-2 weeks), store at 4ºC. For long-term storage, aliquot and store at -20ºC or below. Avoid multiple freeze-thaw cycles.
- 克隆性:
Monoclonal
- 标记物:
Unconjugated
- 适应物种:
Human
- 保质期:
12 months from the shipping date of the product.
- 抗原来源:
Human
- 目录编号:
GTX83002
- 级别:
Primary Antibodies
- 库存:
Available
- 供应商:
GeneTex
- 宿主:
Mouse
- 应用范围:
WB, IHC-P, ELISA
- 靶点:
ETS1
- 抗体英文名:
ETS1 antibody [10D2]
- 抗体名:
ETS1 抗体 [10D2]
- 规格:
100 μl
WB analysis of Jurkat (1), HepG2 (2) and ETS1-hIgGFc transfected HEK293 (3) cell lysate using GTX83002 ETS1 antibody [10D2].
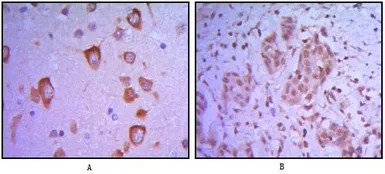
IHC-P analysis of human brain tissue (A) and breast tumor (B) using GTX83002 ETS1 antibody [10D2].
风险提示:丁香通仅作为第三方平台,为商家信息发布提供平台空间。用户咨询产品时请注意保护个人信息及财产安全,合理判断,谨慎选购商品,商家和用户对交易行为负责。对于医疗器械类产品,请先查证核实企业经营资质和医疗器械产品注册证情况。
文献和实验of ERBB-2 (C), VE-cadherin (D, E), and ICAM-1 (F). Blue, A431 cells infected with the selected pMX-TFZF pools and stained with the corresponding antibody; orange, A431 cells infected with the 3ZF or 6ZF unselected libraries; green, mock-infected cells
技术资料暂无技术资料 索取技术资料






![TRIM2 antibody [C3], C-term](https://img1.dxycdn.com/2022/0328/251/0073974129507200453-14.jpg!wh200)




