相关产品推荐更多 >
万千商家帮你免费找货
0 人在求购买到急需产品
- 详细信息
- 文献和实验
- 技术资料
- 免疫原:
Purified recombinant fragment of human EpCAM expressed in E. Coli.
- 亚型:
IgG1
- 形态:
Liquid
- 保存条件:
Store as concentrated solution. Centrifuge briefly prior to opening vial. For short-term storage (1-2 weeks), store at 4ºC. For long-term storage, aliquot and store at -20ºC or below. Avoid multiple freeze-thaw cycles.
- 克隆性:
Monoclonal
- 标记物:
Unconjugated
- 适应物种:
Human
- 保质期:
12 months from the shipping date of the product.
- 抗原来源:
Human
- 目录编号:
GTX82831
- 级别:
Primary Antibodies
- 库存:
Available
- 供应商:
GeneTex
- 宿主:
Mouse
- 应用范围:
WB, IHC-P, ELISA
- 靶点:
EpCAM
- 抗体英文名:
EpCAM antibody [7E11]
- 抗体名:
EpCAM 抗体 [7E11]
- 规格:
100 μl
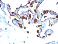
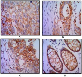
IHC-P analysis of human lung cancer (A), colon cancer (B), breast cancer (C) and rectal cancer(D), using GTX82831 EPCAM antibody [7E11].
WB analysis of HTC116 (1) and T47D (2) cell lysate using GTX82831 EPCAM antibody [7E11].
风险提示:丁香通仅作为第三方平台,为商家信息发布提供平台空间。用户咨询产品时请注意保护个人信息及财产安全,合理判断,谨慎选购商品,商家和用户对交易行为负责。对于医疗器械类产品,请先查证核实企业经营资质和医疗器械产品注册证情况。
文献和实验STM:广州医科大学刘铭/谢茂彬合作发现肝细胞癌的新潜在治疗靶点 Claudin 6
组于 Science Translational Medicine 杂志(STM)在线发表题为 Targeting tumor lineage plasticity in hepatocellular carcinoma using an anti-CLDN6 antibody-drug conjugate 的研究论文。这项研究揭示了细胞紧密连接(tight junction)蛋白 Claudin 6 通过调控肝癌细胞的谱系可塑性(lineage plasticity),促进肝癌进展与耐药的机制,并初步报道
Hematopoietic Stem Cell Enrichment From the AGM Region of the Mouse Embryo
in the intraembryonic aorta-gonad-mesonephros region at embryonic day (E) 10.5. After E11, these HSCs are thought to seed the liver and then the bone marrow just before birth. So far, many questions concerning the origin, properties, and functionality of these HSCs
Wholemount in situ hybridisation
. Each batch should ideally be tested. As a rough guide, use 5 min for E7.5, 7 min for E8.5, 9 min for E9.5, 11 min for E10.5, 12-14 min for E11.5. 8 Wash twice with PBTX for 5 minutes each. Be careful - the embryos are fragile
技术资料暂无技术资料 索取技术资料







![DECR1 antibody [8B1AD10]](https://img1.dxycdn.com/2022/0328/688/8867484610401500453-14.jpg!wh200)


