相关产品推荐更多 >
万千商家帮你免费找货
0 人在求购买到急需产品
- 详细信息
- 文献和实验
- 技术资料
- 免疫原:
Purified recombinant fragment of human SMAD4 expressed in E. Coli.
- 亚型:
IgG1
- 形态:
Liquid
- 保存条件:
Store as concentrated solution. Centrifuge briefly prior to opening vial. For short-term storage (1-2 weeks), store at 4ºC. For long-term storage, aliquot and store at -20ºC or below. Avoid multiple freeze-thaw cycles.
- 克隆性:
Monoclonal
- 标记物:
Unconjugated
- 适应物种:
Human, Mouse
- 保质期:
12 months from the shipping date of the product.
- 抗原来源:
Human
- 目录编号:
GTX82787
- 级别:
Primary Antibodies
- 库存:
Available
- 供应商:
GeneTex
- 宿主:
Mouse
- 应用范围:
WB, ICC/IF, IHC-P, FACS, ELISA
- 靶点:
SMAD4
- 抗体英文名:
SMAD4 antibody [4G1C6]
- 抗体名:
SMAD4 抗体 [4G1C6]
- 规格:
100 μl
FACS analysis of K562 cells using GTX82787 SMAD4 antibody [4G1C6].
Green : SMAD4
Purple : negative control
WB analysis of A431 (1), SK-N-SH (2), K562 (3), HepG2 (4) and HUVE12 (5) cell lysate using GTX82787 SMAD4 antibody [4G1C6].
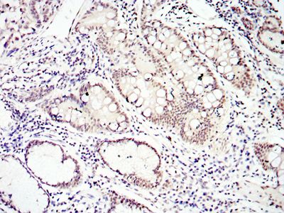
IHC-P analysis of lung cancer tissue using GTX82787 SMAD4 antibody [4G1C6].
ICC/IF analysis of NIH3T3 cells using GTX82787 SMAD4 antibody [4G1C6].
Green : SMAD4
Blue: DRAQ5 fluorescent DNA dye
Red: Actin filaments
风险提示:丁香通仅作为第三方平台,为商家信息发布提供平台空间。用户咨询产品时请注意保护个人信息及财产安全,合理判断,谨慎选购商品,商家和用户对交易行为负责。对于医疗器械类产品,请先查证核实企业经营资质和医疗器械产品注册证情况。
文献和实验「神药对决癌王」医科院赵玉沛院士/吴晨教授/林东昕院士团队揭示二甲双胍抑制胰腺癌转移新机制
发表了题为 Metformin inhibits pancreatic cancer metastasis caused by SMAD4 deficiency and consequent HNF4G upregulation 的研究成果 (1)。该研究发现二甲双胍可抑制由 SMAD4 缺乏和 HNF4G 上调介导的胰腺癌转移。研究内容SMAD4 缺陷导致 HNF4G 过表达进而促进胰腺癌转移通过对已发表的 8 份 GWAS 数据进行联合分析,作者筛选得到 36 个与胰腺导管腺癌(PDAC)显著相关
case, the antibody should be added in 1:100 to 1:500 final dilution. • For Hsp70, 3A3 and C92 did work, 4G4 and 5A5 did not. 3A3 may be used 1 μl/ sample. • HSE probe must have high-specific activity (>10,000 cpm/fmol) and be double-stranded
. 4. When finished, immerse membrane in Blocking buffer and block overnight. H. Antibodies and detection 1. Incubate with primary antibody diluted in Blocking buffer for 2 hours at room temp. 2. Wash 3 x 10 min with PBST. 1 x10min secondary washing
技术资料暂无技术资料 索取技术资料











