相关产品推荐更多 >
万千商家帮你免费找货
0 人在求购买到急需产品
- 详细信息
- 技术资料
- 免疫原:
KLH conjugated synthetic peptide between 34-63 amino acids from the N-terminal region of human MSRA.
- 亚型:
IgG
- 形态:
Liquid
- 保存条件:
Store as concentrated solution. Centrifuge briefly prior to opening vial. For short-term storage (1-2 weeks), store at 4ºC. For long-term storage, aliquot and store at -20ºC or below. Avoid multiple freeze-thaw cycles.
- 克隆性:
Polyclonal
- 标记物:
Unconjugated
- 适应物种:
Human, Mouse
- 保质期:
12 months from the shipping date of the product.
- 抗原来源:
Human
- 目录编号:
GTX81531
- 级别:
Primary Antibodies
- 库存:
Available
- 供应商:
GeneTex
- 宿主:
Rabbit
- 应用范围:
WB, ICC/IF, IHC-P, FACS
- 浓度:
Batch dependent (Please refer to the vial label for the specific concentration.)
- 靶点:
MSRA
- 抗体英文名:
MSRA antibody, N-term
- 抗体名:
MSRA 抗体, N-term
- 规格:
400 μl
WB analysis of human kidney lysate using GTX81531 MSRA antibody, N-term.
Loading : 20 μg per lane
Dilution : 1:1000
WB analysis of mouse kidney tissue lysate (35ug/lane) using GTX81531 MSRA antibody, N-term.
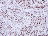
IHC-P analysis of human hepatocarcinoma using GTX81531 MSRA antibody, N-term.
FACS analysis of MDA-MB435 cells using GTX81531 MSRA antibody, N-term.
Top histogram : negative control
Bottom histogram : MDA-MB435 cells
ICC/IF analysis of A549 cells using GTX81531 MSRA antibody, N-term.
Green : MSRA
Red : Actin filament
Dilution : 1:100
风险提示:丁香通仅作为第三方平台,为商家信息发布提供平台空间。用户咨询产品时请注意保护个人信息及财产安全,合理判断,谨慎选购商品,商家和用户对交易行为负责。对于医疗器械类产品,请先查证核实企业经营资质和医疗器械产品注册证情况。
技术资料暂无技术资料 索取技术资料





![Fibromodulin antibody [N3C3]](https://img1.dxycdn.com/2022/0328/527/4675593042984200453-14.jpg!wh200)
![hnRNP A1 antibody [9H10]](https://img1.dxycdn.com/2022/0328/444/4321964457789300453-14.jpg!wh200)
![Hexokinse 1, 2 antibody [1A7]](https://img1.dxycdn.com/2022/0329/910/5797034272705020453-14.jpg!wh200)


