相关产品推荐更多 >
万千商家帮你免费找货
0 人在求购买到急需产品
- 详细信息
- 技术资料
- 免疫原:
Full-length protein expressed in 293T cell transfected with human PDE10A expression vector
- 亚型:
IgG1
- 形态:
Liquid
- 保存条件:
Store as concentrated solution. Centrifuge briefly prior to opening vial. For short-term storage (1-2 weeks), store at 4ºC. For long-term storage, aliquot and store at -20ºC or below. Avoid multiple freeze-thaw cycles.
- 克隆性:
Monoclonal
- 标记物:
Unconjugated
- 适应物种:
Human, Mouse
- 保质期:
12 months from the shipping date of the product.
- 抗原来源:
Human
- 目录编号:
GTX83931
- 级别:
Primary Antibodies
- 库存:
Available
- 供应商:
GeneTex
- 宿主:
Mouse
- 应用范围:
WB, IHC-P
- 浓度:
0.6 mg/ml (Please refer to the vial label for the specific concentration.)
- 靶点:
PDE10A
- 抗体英文名:
PDE10A antibody [1B2]
- 抗体名:
PDE10A 抗体 [1B2]
- 规格:
100 μl
WB analysis of HEK293T cells transfected with PDE10A plasmid (Right) or empty vector (Left) for 48 hrs using GTX83931 PDE10A antibody [1B2].
Loading : 5 ug per lane
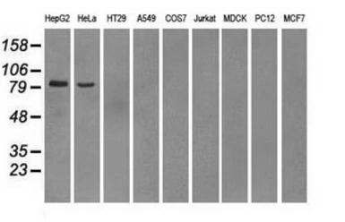
WB analysis of various cell lines using GTX83931 PDE10A antibody [1B2].
Loading : 35 ug per lane
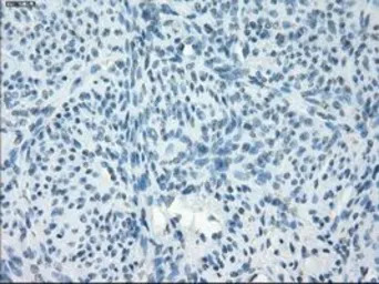
IHC-P analysis of endometrium tissue using GTX83931 PDE10A antibody [1B2].
Antigen retrieval : Heat-induced epitope retrieval by 10mM citrate buffer, pH6.0, 100ºC for 10min.
Dilution : 1:50
WB analysis of various samples using GTX83931 PDE10A antibody [1B2].
Loading : 10 ug per lane
Dilution : 1:200
风险提示:丁香通仅作为第三方平台,为商家信息发布提供平台空间。用户咨询产品时请注意保护个人信息及财产安全,合理判断,谨慎选购商品,商家和用户对交易行为负责。对于医疗器械类产品,请先查证核实企业经营资质和医疗器械产品注册证情况。
技术资料暂无技术资料 索取技术资料





![Histamine H4 Receptor antibody [N1N2], N-term](https://img1.dxycdn.com/2022/0328/887/0392112085843200453-14.jpg!wh200)


![CD44 antibody [Hermes-3]](https://img1.dxycdn.com/2022/0328/200/9742072178680800453-14.jpg!wh200)


