相关产品推荐更多 >
万千商家帮你免费找货
0 人在求购买到急需产品
- 详细信息
- 文献和实验
- 技术资料
- 免疫原:
Carrier-protein conjugated synthetic peptide encompassing a sequence within the center region of human C-Peptide. The exact sequence is proprietary.
- 亚型:
IgG
- 形态:
Liquid
- 保存条件:
Store as concentrated solution. Centrifuge briefly prior to opening vial. For short-term storage (1-2 weeks), store at 4ºC. For long-term storage, aliquot and store at -20ºC or below. Avoid multiple freeze-thaw cycles.
- 克隆性:
Polyclonal
- 标记物:
Unconjugated
- 适应物种:
Human, Mouse, Rat
- 保质期:
12 months from the shipping date of the product.
- 抗原来源:
Human
- 目录编号:
GTX129708
- 级别:
Primary Antibodies
- 库存:
Available
- 供应商:
GeneTex
- 宿主:
Rabbit
- 应用范围:
IHC-P, ELISA
- 浓度:
1.5 mg/ml (Please refer to the vial label for the specific concentration.)
- 靶点:
C-Peptide
- 抗体英文名:
C-Peptide antibody
- 抗体名:
C-Peptide 抗体
- 规格:
100 μl/25 μl
| 规格: | 100 μl | 产品价格: | ¥4000.0 |
|---|---|---|---|
| 规格: | 25 μl | 产品价格: | ¥1700.0 |
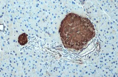
C-Peptide antibody detects C-Peptide protein at cytoplasm by immunohistochemical analysis.
Sample: Paraffin-embedded rat pancreas.
C-Peptide stained by C-Peptide antibody (GTX129708) diluted at 1:1000.
Antigen Retrieval: Citrate buffer, pH 6.0, 15 min
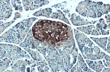
C-Peptide antibody detects C-Peptide protein at cytoplasm by immunohistochemical analysis.
Sample: Paraffin-embedded mouse pancreas.
C-Peptide stained by C-Peptide antibody (GTX129708) diluted at 1:1000.
Antigen Retrieval: Citrate buffer, pH 6.0, 15 min
Indirect ELISA analysis performed by coating plate with recombinant mature C-Peptide protein (200-3.125 ng/mL). Coated protein was probed with C-Peptide antibody (GTX129708) (0.5 μg/mL). Rabbit IgG antibody (HRP) (GTX213110-01) (1:10000) was used to detect bound primary antibody.
Indirect ELISA analysis was performed by coating plate with 50 μL of mature C-Peptide protein at concentrations ranging from 3.125 ng/mL to 200 ng/mL. The coated protein is detected with C-Peptide antibody (GTX129708) or competitor's antibody (MAB14171) at 0.5 μg/mL. Rabbit IgG antibody (HRP) (GTX213110-01) was diluted at 1:10000 and used to detect the primary antibody.
*The competitor is not affiliated with GeneTex and does not endorse this product.
风险提示:丁香通仅作为第三方平台,为商家信息发布提供平台空间。用户咨询产品时请注意保护个人信息及财产安全,合理判断,谨慎选购商品,商家和用户对交易行为负责。对于医疗器械类产品,请先查证核实企业经营资质和医疗器械产品注册证情况。
文献和实验为连接肽( conneting peptide)之简写。系从胰岛素原( proinsulin)产生胰岛素时所形成的多肽。
上海西唐生物科技有限公司 021-55229872, 65333639 www.westang.com 大鼠 C- 肽 (C-peptide)ELISA 试剂盒 ( 用于血清、血浆、细胞培养上清液和生物体液内 ) 原理 本实验采用双抗体夹心 ABC-ELISA 法。用抗大鼠 C-peptide 单抗包被于酶标板上,标准品和样品中的 C-peptide 与单抗结合,加入生物素化的抗大
上海西唐生物科技有限公司 021-55229872, 65333639 www.westang.com 小鼠C- 肽 ( C-peptide )ELISA 试剂盒 ( 用于血清、血浆、细胞培养上清液和生物体液内 ) 原理 本实验采用双抗体夹心 ABC-ELISA 法。用抗小鼠 C-peptide 单抗包被于酶标板上,标准品和样品中的 C-peptide与单抗结合
技术资料暂无技术资料 索取技术资料











