相关产品推荐更多 >
万千商家帮你免费找货
0 人在求购买到急需产品
- 详细信息
- 文献和实验
- 技术资料
- 免疫原:
KLH conjugated synthetic peptide between 207-237 amino acids from the Central region of human CTSK.
- 亚型:
IgG
- 形态:
Liquid
- 保存条件:
Store as concentrated solution. Centrifuge briefly prior to opening vial. For short-term storage (1-2 weeks), store at 4ºC. For long-term storage, aliquot and store at -20ºC or below. Avoid multiple freeze-thaw cycles.
- 克隆性:
Polyclonal
- 标记物:
Unconjugated
- 适应物种:
Human
- 保质期:
12 months from the shipping date of the product.
- 抗原来源:
Human
- 目录编号:
GTX81488
- 级别:
Primary Antibodies
- 库存:
Available
- 供应商:
GeneTex
- 宿主:
Rabbit
- 应用范围:
WB, IHC-P, FACS
- 浓度:
Batch dependent (Please refer to the vial label for the specific concentration.)
- 靶点:
Cathepsin K
- 抗体英文名:
Cathepsin K antibody, Internal
- 抗体名:
Cathepsin K 抗体, Internal
- 规格:
400 μl
WB analysis of 293 cell lysate (2 ug/lane) either nontransfected (Lane 1) or transiently transfected with the Cathepsin K (Lane 2) using GTX81488 Cathepsin K antibody, Internal.
FACS analysis of ZR-75-1 cells using GTX81488 Cathepsin K antibody, Internal.
Top histogram : negative control
Bottom histogram : ZR-75-1 cells
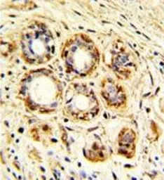
IHC-P analysis of human breast carcinoma using GTX81488 Cathepsin K antibody, Internal.
风险提示:丁香通仅作为第三方平台,为商家信息发布提供平台空间。用户咨询产品时请注意保护个人信息及财产安全,合理判断,谨慎选购商品,商家和用户对交易行为负责。对于医疗器械类产品,请先查证核实企业经营资质和医疗器械产品注册证情况。
文献和实验人组织蛋白酶K(Cathepsin K)ELISA试剂盒 说明书
上海西唐生物科技有限公司 021-55229872, 65333639 www.westang.com 人组织蛋白酶K ( Cathepsin K )ELISA 试剂盒 ( 用于血清、血浆、细胞培养上清液和尿液、唾液生物体液内 ) 原理 本实验采用双抗体夹心 ABC-ELISA 法。用抗人 Cathepsin K 单抗包被于酶标板上,标准品和样品中的 Cathepsin K
skybjp123 各位大哥大嫂,小弟最近在找寻 cathepsin K B L S 的相关转录因子,不知道有哪些呀?哪位牛人可否赐教,谢谢啦~~还有就是sp1是什么?兔子的sp1的基因序列怎么查不到啊?也请赐教~~谢谢~~ skybjp123 另外还有就是:转录因子是怎么测定含量的?用荧光定量PCR技术可以吗?可信吗? happytears 1、转录因子可以先用相关软件预测,如TFbind
endothelial tissue, which compromises all blood vessels. Red-purple circular lesions, slightly raised on the face, arms, neck, and legs Internal lesions, especially in GI tract, identified by biopsy
技术资料暂无技术资料 索取技术资料







![ZAP70 antibody [3D2A4]](https://img1.dxycdn.com/2022/0328/623/0428606252777500453-14.jpg!wh200)



