相关产品推荐更多 >
万千商家帮你免费找货
0 人在求购买到急需产品
- 详细信息
- 文献和实验
- 技术资料
- 免疫原:
Recombinant protein encompassing a sequence within the center region of human TGF beta 3. The exact sequence is proprietary.
- 亚型:
IgG
- 形态:
Liquid
- 保存条件:
Store as concentrated solution. Centrifuge briefly prior to opening vial. For short-term storage (1-2 weeks), store at 4ºC. For long-term storage, aliquot and store at -20ºC or below. Avoid multiple freeze-thaw cycles.
- 克隆性:
Polyclonal
- 标记物:
Unconjugated
- 适应物种:
Human, Mouse
- 保质期:
12 months from the shipping date of the product.
- 抗原来源:
Human
- 目录编号:
GTX129091
- 级别:
Primary Antibodies
- 库存:
Available
- 供应商:
GeneTex
- 宿主:
Rabbit
- 应用范围:
WB, IHC-P
- 浓度:
0.43 mg/ml (Please refer to the vial label for the specific concentration.)
- 靶点:
TGF beta 3
- 抗体英文名:
TGF beta 3 antibody
- 抗体名:
TGF beta 3 抗体
- 规格:
100 μl/25 μl
| 规格: | 100 μl | 产品价格: | ¥4000.0 |
|---|---|---|---|
| 规格: | 25 μl | 产品价格: | ¥1700.0 |
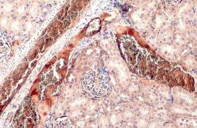
TGF beta 3 antibody detects secreted TGF beta 3 protein by immunohistochemical analysis.
Sample: Paraffin-embedded mouse kidney.
TGF beta 3 stained by TGF beta 3 antibody (GTX129091) diluted at 1:500.
Antigen Retrieval: Citrate buffer, pH 6.0, 15 min
Non-transfected (–) and transfected (+) 293T whole cell extracts (30 μg) were separated by 10% SDS-PAGE, and the membrane was blotted with TGF beta 3 antibody (GTX129091) diluted at 1:20000. The HRP-conjugated anti-rabbit IgG antibody (GTX213110-01) was used to detect the primary antibody.
TGF beta 3 antibody detects TGF beta 3 protein at secreted on mouse kidney by immunohistochemical analysis.
Sample: Paraffin-embedded mouse kidney.
TGF beta 3 antibody (GTX129091) dilution: 1:500.
Antigen Retrieval: Trilogy™ (EDTA based, pH 8.0) buffer, 15min
风险提示:丁香通仅作为第三方平台,为商家信息发布提供平台空间。用户咨询产品时请注意保护个人信息及财产安全,合理判断,谨慎选购商品,商家和用户对交易行为负责。对于医疗器械类产品,请先查证核实企业经营资质和医疗器械产品注册证情况。
文献和实验Anticardiolipin Antibody and Anti-beta 2 Glycoprotein I Antibody Assays
) antibodies and anti-beta 2 glycoprotein I (β2-GPI) antibodies. Other autoantibodies, such as those directed against anionic phospholipids, can also be assayed; however they are not of clinical significance. Participation in a quality assurance
tangqj 谁有TGF-beta的信号传导图?谢谢 kaige88 参见如下: kaige88 参见如下: 本文由丁香园论坛提供,想了解更多有用的、有意思的前沿资讯以及酷炫的实验方法的你,都可以成为师兄的好伙伴 师兄微信号:shixiongcoming
【求助】关于TGF-Beta,FN酶联免疫(ELISA)试剂盒的选择参与者:txl4fox我是要酶联免疫(ELISA)的方法测细胞上清液中的TGF-Beta,FN抗原的表达情况,关于ELISA试剂盒的选择我想请教几个问题:我想买酶标板自己包被一抗,那我应该如何选择ELISA试剂盒?有没有不带酶标板只带一抗,二抗,酶底物,以及底物显色剂而且够做五六张板的ELISA试剂盒?如果没有,是不是我应该分开订购?ELISA试剂盒从国外哪几个公司订购比较好同时又相对不会很贵?谢谢。参与者:风来了你说的市场
技术资料暂无技术资料 索取技术资料





![Blood Group Lewis b antibody [2-25LE]](https://img1.dxycdn.com/2022/0328/607/0551325695749300453-14.jpg!wh200)





