相关产品推荐更多 >
万千商家帮你免费找货
0 人在求购买到急需产品
- 详细信息
- 文献和实验
- 技术资料
- 免疫原:
KLH conjugated synthetic peptide between 322-351 amino acids from the C-terminal region of human MYCN.
- 亚型:
IgG
- 形态:
Liquid
- 保存条件:
Store as concentrated solution. Centrifuge briefly prior to opening vial. For short-term storage (1-2 weeks), store at 4ºC. For long-term storage, aliquot and store at -20ºC or below. Avoid multiple freeze-thaw cycles.
- 克隆性:
Polyclonal
- 标记物:
Unconjugated
- 适应物种:
Human
- 保质期:
12 months from the shipping date of the product.
- 抗原来源:
Human
- 目录编号:
GTX81475
- 级别:
Primary Antibodies
- 库存:
Available
- 供应商:
GeneTex
- 宿主:
Rabbit
- 应用范围:
WB, IHC-P
- 浓度:
Batch dependent (Please refer to the vial label for the specific concentration.)
- 靶点:
n-Myc
- 抗体英文名:
n-Myc antibody, C-term
- 抗体名:
n-Myc 抗体, C-term
- 规格:
400 μl
WB analysis of CCRF-CEM whole cell lysate using GTX81475 n-Myc antibody, C-term.
Loading : 20 μg per lane
Dilution : 1:1000
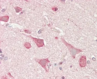
IHC-P analysis of human brain tissue using GTX81475 n-Myc antibody, C-term.
风险提示:丁香通仅作为第三方平台,为商家信息发布提供平台空间。用户咨询产品时请注意保护个人信息及财产安全,合理判断,谨慎选购商品,商家和用户对交易行为负责。对于医疗器械类产品,请先查证核实企业经营资质和医疗器械产品注册证情况。
文献和实验Mastropasqua F et al., Mol Cancer 2017 (PMID:28327152)
Chromatin Immunoprecipitation Assays for Myc and N-Myc
Myc and N-Myc have widespread impacts on the chromatin state within cells, both in a gene-specific and genome-wide manner. Our laboratory uses functional genomic methods including chromatin immunoprecipitation (ChIP), ChIP-chip
于研究。 性能参数 LIST OF ANTBODY PRODUCTS AP8401a BDP1 N-term Antibody AP8408b MEG2 C-term Antibody AP8451b PPP3CA C-term Antibody AP8449b CTDSP1 C-term Antibody AP8408a MEG2 N-term Antibody AP8451a PPP3CA N-term Antibody AP8449
CIP/WAF gene without binding DNA directly but through interaction with different transcription factors such as Sp1 and Miz-1 that recognize specific DNA sequences in the p21CIP/WAF promoter (Gartel et al., 2001 and Wu e al., 2003). N-Myc
技术资料暂无技术资料 索取技术资料





![CA19-9 antibody [GT8510]](https://img1.dxycdn.com/2022/0329/437/5821124007178020453-14.jpg!wh200)
![RNaseH2B antibody [GT673]](https://img1.dxycdn.com/2022/0329/986/6126741187016020453-14.jpg!wh200)


![Jagged 2 antibody [HMJ2-1]](https://img1.dxycdn.com/2022/0329/909/5825272571264020453-14.jpg!wh200)

