相关产品推荐更多 >
万千商家帮你免费找货
0 人在求购买到急需产品
- 详细信息
- 文献和实验
- 技术资料
- 免疫原:
Synthetic peptide corresponding to residues C A(356) Q K D K E K A V Y A K M F A(370) of human Cyp-40.
- 亚型:
IgG
- 形态:
Liquid
- 保存条件:
Store as concentrated solution. Centrifuge briefly prior to opening vial. For short-term storage (1-2 weeks), store at 4ºC. For long-term storage, aliquot and store at -20ºC or below. Avoid multiple freeze-thaw cycles.
- 克隆性:
Polyclonal
- 标记物:
Unconjugated
- 适应物种:
Human, Mouse, Rat, Rabbit, Bovine, Chicken, Primate
- 保质期:
12 months from the shipping date of the product.
- 抗原来源:
Human
- 目录编号:
GTX79245
- 级别:
Primary Antibodies
- 库存:
Available
- 供应商:
GeneTex
- 宿主:
Rabbit
- 应用范围:
WB, ICC/IF, IHC-P, IHC-Fr, FACS, IP, Gel supershift assays, IHC
- 浓度:
1 mg/ml (Please refer to the vial label for the specific concentration.)
- 靶点:
This antibody does not cross-react with CyPA.
- 抗体英文名:
Cyclophilin 40 antibody
- 抗体名:
Cyclophilin 40 抗体
- 规格:
100 μl
ICC/IF analysis of HepG2 cells using GTX79245 Cyclophilin 40 antibody. Cells were probed without (right) or with(left) an antibody.
Green : Primary antibody
Blue : Nuclei
Red : Actin
Fixation : formaldehyde
Dilution : 1:200 overnight at 4ºC
WB analysis of rat spleen extracts using GTX79245 Cyclophilin 40 antibody.
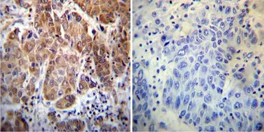
IHC-P analysis of human skeletal muscle tissue using GTX79245 Cyclophilin 40 antibody.
Left : Primary antibody
Right : Negative control without primary antibody
Antigen retrieval : heat induced antigen retrieval was performed using 10mM sodium citrate (pH6.0) buffer, microwaved for 8-15 minutes
Dilution : 1:100
ICC/IF analysis of A431 cells using GTX79245 Cyclophilin 40 antibody. Cells were probed without (right) or with(left) an antibody.
Green : Primary antibody
Blue : Nuclei
Red : Actin
Fixation : formaldehyde
Dilution : 1:200 overnight at 4ºC
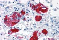
IHC-P analysis of human hepatocarcinoma tissue using GTX79245 Cyclophilin 40 antibody.
Left : Primary antibody
Right : Negative control without primary antibody
Antigen retrieval : heat induced antigen retrieval was performed using 10mM sodium citrate (pH6.0) buffer, microwaved for 8-15 minutes
Dilution : 1:200
风险提示:丁香通仅作为第三方平台,为商家信息发布提供平台空间。用户咨询产品时请注意保护个人信息及财产安全,合理判断,谨慎选购商品,商家和用户对交易行为负责。对于医疗器械类产品,请先查证核实企业经营资质和医疗器械产品注册证情况。
文献和实验Menga A et al., FEBS J 2017 (PMID:28118529)
技术资料暂无技术资料 索取技术资料





![Cytokeratin 18 antibody [B23.1]](https://img1.dxycdn.com/2022/0328/413/4940811256320700453-14.jpg!wh200)
![HDAC10 antibody [3C2]](https://img1.dxycdn.com/2022/0328/210/5175001452448500453-14.jpg!wh200)



