相关产品推荐更多 >
万千商家帮你免费找货
0 人在求购买到急需产品
- 详细信息
- 文献和实验
- 技术资料
- 免疫原:
Synthetic peptide corresponding to residues C A(356) Q K D K E K A V Y A K M F A(370) of human Cyp-40.
- 亚型:
IgG
- 形态:
Liquid
- 保存条件:
Store as concentrated solution. Centrifuge briefly prior to opening vial. For short-term storage (1-2 weeks), store at 4ºC. For long-term storage, aliquot and store at -20ºC or below. Avoid multiple freeze-thaw cycles.
- 克隆性:
Polyclonal
- 标记物:
Unconjugated
- 适应物种:
Human, Mouse, Rat, Rabbit, Bovine, Chicken, Primate
- 保质期:
12 months from the shipping date of the product.
- 抗原来源:
Human
- 目录编号:
GTX79245
- 级别:
Primary Antibodies
- 库存:
Available
- 供应商:
GeneTex
- 宿主:
Rabbit
- 应用范围:
WB, ICC/IF, IHC-P, IHC-Fr, FACS, IP, Gel supershift assays, IHC
- 浓度:
1 mg/ml (Please refer to the vial label for the specific concentration.)
- 靶点:
This antibody does not cross-react with CyPA.
- 抗体英文名:
Cyclophilin 40 antibody
- 抗体名:
Cyclophilin 40 抗体
- 规格:
100 μl
ICC/IF analysis of HepG2 cells using GTX79245 Cyclophilin 40 antibody. Cells were probed without (right) or with(left) an antibody.
Green : Primary antibody
Blue : Nuclei
Red : Actin
Fixation : formaldehyde
Dilution : 1:200 overnight at 4ºC
WB analysis of rat spleen extracts using GTX79245 Cyclophilin 40 antibody.
IHC-P analysis of human skeletal muscle tissue using GTX79245 Cyclophilin 40 antibody.
Left : Primary antibody
Right : Negative control without primary antibody
Antigen retrieval : heat induced antigen retrieval was performed using 10mM sodium citrate (pH6.0) buffer, microwaved for 8-15 minutes
Dilution : 1:100
ICC/IF analysis of A431 cells using GTX79245 Cyclophilin 40 antibody. Cells were probed without (right) or with(left) an antibody.
Green : Primary antibody
Blue : Nuclei
Red : Actin
Fixation : formaldehyde
Dilution : 1:200 overnight at 4ºC
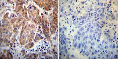
IHC-P analysis of human hepatocarcinoma tissue using GTX79245 Cyclophilin 40 antibody.
Left : Primary antibody
Right : Negative control without primary antibody
Antigen retrieval : heat induced antigen retrieval was performed using 10mM sodium citrate (pH6.0) buffer, microwaved for 8-15 minutes
Dilution : 1:200
风险提示:丁香通仅作为第三方平台,为商家信息发布提供平台空间。用户咨询产品时请注意保护个人信息及财产安全,合理判断,谨慎选购商品,商家和用户对交易行为负责。对于医疗器械类产品,请先查证核实企业经营资质和医疗器械产品注册证情况。
文献和实验Menga A et al., FEBS J 2017 (PMID:28118529)
人白介素-12 p40(IL-12 p40)ELISA试剂盒 说明书
上海西唐生物科技有限公司 021-55229872, 65333639 www.westang.com 人白介素-12 p40 (IL-12 p40)ELISA 试剂盒 ( 用于血清、血浆、细胞培养上清液和其它生物体液内 ) 原理 本实验采用双抗体夹心 ABC-ELISA 法。用抗人 IL-12 p40 单抗包被于酶标板上,标准品和样品中的 IL-12 p40与单抗
CD40 分子 CD40 常用单克隆抗体或代号: G28- 5,EA- 5 主要表达细胞: B,M,FDC,并指细胞,上皮 [B] 分子质量(kDa)和结构: gp50(TNFR- SF) 功 能: B细胞生长、分化和记忆细胞产生,配体为CD40L,T- B相互作用 CD40 Plays a central role in regulating cell-mediated
人sCD40配体(sCD40 Ligand)ELISA试剂盒 说明书
人sCD40 配体 (sCD40 Ligand)ELISA 试剂盒 ( 用于血清、血浆、细胞培养上清液和其它生物体液内 ) 原理 本实验采用双抗体夹心 ABC-ELISA 法。用抗人 sCD40 Ligand 单抗包被于酶标板上,标准品和样品中的 sCD40 Ligand与单抗结合,加入生物素化的抗人 sCD40 Ligand ,形成免疫复合物连接在板上,辣根
技术资料暂无技术资料 索取技术资料





![TDG antibody [GT1511]](https://img1.dxycdn.com/2023/0711/451/6106825198874858761-14.jpg!wh200)



