相关产品推荐更多 >
万千商家帮你免费找货
0 人在求购买到急需产品
- 详细信息
- 文献和实验
- 技术资料
- 免疫原:
Synthetic human pancreatic polypeptide conjugated to keyhole limpet hemocyanin.
- 亚型:
IgG
- 形态:
Liquid
- 保存条件:
Store as concentrated solution. Centrifuge briefly prior to opening vial. Store at 4ºC.
- 克隆性:
Polyclonal
- 标记物:
Unconjugated
- 适应物种:
Human
- 保质期:
12 months from the shipping date of the product.
- 抗原来源:
Human
- 目录编号:
GTX73873
- 级别:
Primary Antibodies
- 库存:
Available
- 供应商:
GeneTex
- 宿主:
Rabbit
- 应用范围:
IHC-P
- 浓度:
Batch dependent (Please refer to the vial label for the specific concentration.)
- 靶点:
Pancreatic Polypeptide
- 抗体英文名:
Pancreatic Polypeptide antibody
- 抗体名:
Pancreatic Polypeptide 抗体
- 规格:
1 ml
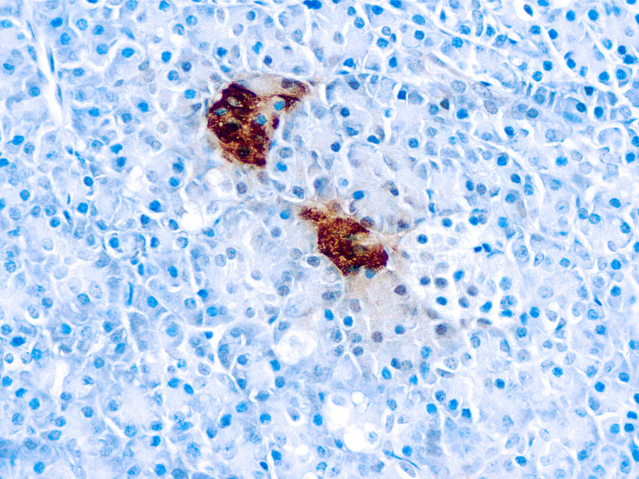
IHC-P analysis of human pancreas tissue using GTX73873 Pancreatic Polypeptide antibody.
风险提示:丁香通仅作为第三方平台,为商家信息发布提供平台空间。用户咨询产品时请注意保护个人信息及财产安全,合理判断,谨慎选购商品,商家和用户对交易行为负责。对于医疗器械类产品,请先查证核实企业经营资质和医疗器械产品注册证情况。
文献和实验Pancreatic cancer in the nonjaundiced patient can be difficult to diagnose, even with the aid of modern scanning techniques. Studies have shown that mucus glycoproteins (mucins) are frequently detectable in the serum of patients
Immunohistochemistry of Pancreatic Neoplasia
of tissues for detecting the actual antigen distribution, specificity of antibody–antigen interaction for optimal detection, and sensitivity of immunochemical methods for assessing the amount of antigen in tissues. It is routinely used clinically to diagnose
Cell-Based Arrays for the Identification of Interacting Polypeptide Domains or Epitopes
The specific regions on proteins which are responsible for protein–protein interaction are called interacting domains, or epitopes in case of antigen–antibody binding. These domains are one feature to characterize proteins and are important
技术资料暂无技术资料 索取技术资料





![p75 NGF Receptor / CD271 antibody [NGFR5] (APC)](https://img1.dxycdn.com/2022/0328/202/5107778465217700453-14.jpg!wh200)
![Cyclin B1 antibody [5C1]](https://img1.dxycdn.com/2022/0328/581/3077277971079600453-14.jpg!wh200)
![PAF49 antibody [GT7212]](https://img1.dxycdn.com/2022/0329/133/0526089828995020453-14.jpg!wh200)



