相关产品推荐更多 >
万千商家帮你免费找货
0 人在求购买到急需产品
- 详细信息
- 文献和实验
- 技术资料
- 免疫原:
Purified alpha6 beta4 integrin from A431 cells.
- 亚型:
IgG1
- 形态:
Liquid
- 保存条件:
Store as concentrated solution. Centrifuge briefly prior to opening vial. For short-term storage (1-2 weeks), store at 4ºC. For long-term storage, aliquot and store at -20ºC or below. Avoid multiple freeze-thaw cycles.
- 克隆性:
Monoclonal
- 标记物:
Unconjugated
- 适应物种:
Human, Ferret, Mustelid
- 保质期:
12 months from the shipping date of the product.
- 抗原来源:
Human
- 目录编号:
GTX75043
- 级别:
Primary Antibodies
- 库存:
Available
- 供应商:
GeneTex
- 宿主:
Mouse
- 应用范围:
WB, ICC/IF, IHC-Fr, FACS, IP
- 浓度:
1.0 mg/ml (Please refer to the vial label for the specific concentration.)
- 靶点:
This antibody recognizes an extracellular epitope on Integrin beta 4.
- 抗体英文名:
Integrin beta 4 antibody [450-9D] (Azide free)
- 抗体名:
Integrin beta 4 抗体 [450-9D] (Azide free)
- 规格:
500 μg
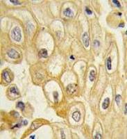
IHC-Fr analysis of human tonsil tissue using GTX75043 Integrin beta 4 antibody [450-9D] (Azide free).
风险提示:丁香通仅作为第三方平台,为商家信息发布提供平台空间。用户咨询产品时请注意保护个人信息及财产安全,合理判断,谨慎选购商品,商家和用户对交易行为负责。对于医疗器械类产品,请先查证核实企业经营资质和医疗器械产品注册证情况。
文献和实验Drake JM et al., J Biol Chem 2010 (PMID:20729552)
祝贺〖雅裕睿安〗成为Signalway Antibody(SAB)独家
ul; 货号21617,产品描述:Tubulin beta-III Antibody;规格 50 ul / 100 ul; 货号21612,产品描述:GAPDH Antibody;规格 50 ul / 100 ul; 货号21335,产品描述:β-Tubulin mouse mAb;规格 50 ul / 100 ul; 货号21336,产品描述:GAPDH mouse
Phycoerythrin conjugation protocol
and Centricon concentrators. Add 0.5% sodium azide. Store at 4 °C protected from light. Do not freeze. Figure 1. Analysis of column eluate fractions from PE conjugation of monoclonal antibody IB4 (murine IgG2a, anti-human CD
Protocol for intracytoplasmic staining of cytokines for FACS analysis
; Pharmingen 18195A) for FL2 anti-IL10 (JES5.16E3-PE; Pharmingen 18435A) for FL1 anti-TGF-beta (rabbit anti pan TGF-beta; R&D Systems AB-100-NA home made FITC conjugate) for FL2 8) Wash extensively in saponin buffer followed by PBS + 0.1% azide
技术资料暂无技术资料 索取技术资料








![TACSTD2 antibody [MSVA-733R] HistoMAX](https://custom.dxycdn.com/trademd/upload/pic/2013/11/12/A1383891150.jpg!small.t.1)

