相关产品推荐更多 >
万千商家帮你免费找货
0 人在求购买到急需产品
- 详细信息
- 文献和实验
- 技术资料
- 免疫原:
Purified recombinant fragment of human Somatostatin (AA: 1-116) expressed in E. Coli.
- 亚型:
IgG1
- 形态:
Liquid
- 保存条件:
Store as concentrated solution. Centrifuge briefly prior to opening vial. For short-term storage (1-2 weeks), store at 4ºC. For long-term storage, aliquot and store at -20ºC or below. Avoid multiple freeze-thaw cycles.
- 克隆性:
Monoclonal
- 标记物:
Unconjugated
- 适应物种:
Human
- 保质期:
12 months from the shipping date of the product.
- 抗原来源:
Human
- 目录编号:
GTX60646
- 级别:
Primary Antibodies
- 库存:
Available
- 供应商:
GeneTex
- 宿主:
Mouse
- 应用范围:
WB, IHC-P, FACS, ELISA
- 浓度:
1 mg/ml (Please refer to the vial label for the specific concentration.)
- 靶点:
Somatostatin
- 抗体英文名:
Somatostatin antibody [7G5]
- 抗体名:
Somatostatin 抗体 [7G5]
- 规格:
100 μg
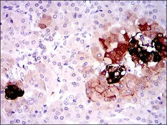
IHC-P analysis of human pancreas tissue using GTX60646 Somatostatin antibody [7G5].
WB analysis of human Somatostatin recombinant protein using GTX60646 Somatostatin antibody [7G5].
FACS analysis of HepG2 cells using GTX60646 Somatostatin antibody [7G5].
Green : Somatostatin
Red : negative control
ELISA analysis of antigen using GTX60646 Somatostatin antibody [7G5].
Black : Control antigen 100ng
Purple : Antigen 10ng
Blue : Antigen 50ng
Red : Antigen 100ng
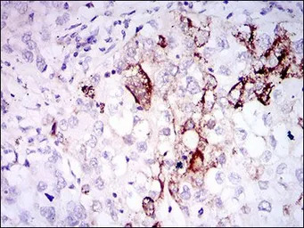
IHC-P analysis of lung cancer tissue using GTX60646 Somatostatin antibody [7G5].
风险提示:丁香通仅作为第三方平台,为商家信息发布提供平台空间。用户咨询产品时请注意保护个人信息及财产安全,合理判断,谨慎选购商品,商家和用户对交易行为负责。对于医疗器械类产品,请先查证核实企业经营资质和医疗器械产品注册证情况。
文献和实验Verena van der Heide et al., Cell Rep 2022 (PMID:35247306)
人可溶性白细胞抗原G5(sHLA-G5)ELISA试剂盒 说明书
上海西唐生物科技有限公司 021-55229872, 65333639 www.westang.com 人可溶性白细胞抗原G5 (sHLA-G5)ELISA 试剂盒 ( 用于血清、血浆、细胞培养上清液和其它生物体液内 ) 原理 本实验采用双抗体夹心 ABC-ELISA 法。用抗人 sHLA-G5 单抗包被于酶标板上,标准品和样品中的 sHLA-G5与单抗结合,加入
大鼠生长抑素(Somatostatin)ELISA试剂盒 说明书
上海西唐生物科技有限公司 021-55229872, 65333639 www.westang.com 大鼠生长抑素 (Somatostatin)ELISA 试剂盒 ( 用于血清、血浆、细胞培养上清液和其它生物体液内 ) 原理 本实验采用双抗体夹心 ABC-ELISA 法。用抗大鼠 Somatostatin 单抗包被于酶标板上,标准品和样品中的 Somatostatin 与单抗结合,加入生物素化的抗大
人生长抑素(Somatostatin)ELISA试剂盒 说明书
上海西唐生物科技有限公司 021-55229872, 65333639 www.westang.com 人生长抑素 ( Somatostatin )ELISA 试剂盒 ( 用于血清、血浆、细胞培养上清液和其它生物体液内 ) 原理 本实验采用双抗体夹心 ABC-ELISA 法。用抗人 Somatostatin 单抗包被于酶标板上,标准品和样品中的
技术资料暂无技术资料 索取技术资料








![CCR3 antibody [5E8] (PE)](https://img1.dxycdn.com/2022/0328/408/8845796033307700453-14.jpg!wh200)
![Cytochrome C antibody [SPM389]](https://img1.dxycdn.com/2022/0328/117/4282715669630700453-14.jpg!wh200)

