相关产品推荐更多 >
万千商家帮你免费找货
0 人在求购买到急需产品
- 详细信息
- 文献和实验
- 技术资料
- 免疫原:
Purified alpha6 beta4 integrin from A431 cells.
- 亚型:
IgG1
- 形态:
Liquid
- 保存条件:
Store as concentrated solution. Centrifuge briefly prior to opening vial. For short-term storage (1-2 weeks), store at 4ºC. For long-term storage, aliquot and store at -20ºC or below. Avoid multiple freeze-thaw cycles.
- 克隆性:
Monoclonal
- 标记物:
Unconjugated
- 适应物种:
Human, Ferret, Mustelid
- 保质期:
12 months from the shipping date of the product.
- 抗原来源:
Human
- 目录编号:
GTX75041
- 级别:
Primary Antibodies
- 库存:
Available
- 供应商:
GeneTex
- 宿主:
Mouse
- 应用范围:
WB, ICC/IF, IHC-Fr, FACS, IP
- 浓度:
1.0 mg/ml (Please refer to the vial label for the specific concentration.)
- 靶点:
This antibody recognizes an extracellular epitope on Integrin beta 4.
- 抗体英文名:
Integrin beta 4 antibody [450-9D]
- 抗体名:
Integrin beta 4 抗体 [450-9D]
- 规格:
200 μg
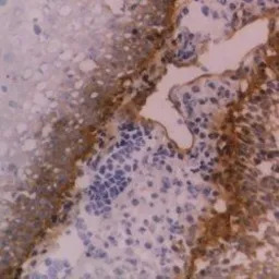
IHC-Fr analysis of human tonsil tissue using GTX75041 Integrin beta 4 antibody [450-9D].
风险提示:丁香通仅作为第三方平台,为商家信息发布提供平台空间。用户咨询产品时请注意保护个人信息及财产安全,合理判断,谨慎选购商品,商家和用户对交易行为负责。对于医疗器械类产品,请先查证核实企业经营资质和医疗器械产品注册证情况。
文献和实验Drake JM et al., J Biol Chem 2010 (PMID:20729552)
人b-整合素(b-Integrin)ELISA试剂盒 说明书
-Integrin与单抗结合,加入生物素化的抗人 b -Integrin,形成免疫复合物连接在板上,辣根过氧化物酶标记的 Streptavidin 与生物素结合,加入底物工作液显蓝色,最后加终止液硫酸,在 450nm 处测 OD 值, b -Integrin浓度与 OD 值成正比,可通过绘制标准曲线求出标本中 b -Integrin浓度。 试剂盒组成 ( 2-8 ℃保存) 酶标 板 (Coated Wells
secondary antibody review -- data from 99 publications
cytometry used as a control to detect cell responses targeted antigen 7 Alexa Fluor 488 7 Cy3 8 goat IgG Alexa Fluor 488 1:2000 detect antibody binding in human embryonic kidney 293T cells Invitrogen 9 donkey
人整合素a4b1(Integrin a4b1)ELISA试剂盒 说明书
品和样品中的Integrin a 4 b 1与单抗结合,加入生物素化的抗人 Integrin a 4 b 1,形成免疫复合物连接在板上,辣根过氧化物酶标记的 Streptavidin 与生物素结合,加入底物工作液显蓝色,最后加终止液硫酸,在 450nm 处测 OD 值,Integrin a 4 b 1浓度与 OD 值成正比,可通过绘制标准曲线求出标本中Integrin a 4 b 1浓度。 试剂盒组成 ( 2-8 ℃保存
技术资料暂无技术资料 索取技术资料











