相关产品推荐更多 >
万千商家帮你免费找货
0 人在求购买到急需产品
- 详细信息
- 文献和实验
- 技术资料
- 免疫原:
Human mast cell tryptase purified from human lung tissue.
- 亚型:
IgG1
- 形态:
Liquid
- 保存条件:
Store as concentrated solution. Centrifuge briefly prior to opening vial. For short-term storage (1-2 weeks), store at 4ºC. For long-term storage, aliquot and store at -20ºC or below. Avoid multiple freeze-thaw cycles.
- 克隆性:
Monoclonal
- 标记物:
Unconjugated
- 适应物种:
Human, Rat, Cat, Dog, Monkey
- 保质期:
12 months from the shipping date of the product.
- 抗原来源:
Human
- 目录编号:
GTX75011
- 级别:
Primary Antibodies
- 库存:
Available
- 供应商:
GeneTex
- 宿主:
Mouse
- 应用范围:
WB, ICC/IF, IHC-P, IHC-Fr, ELISA
- 浓度:
1.0 mg/ml (Please refer to the vial label for the specific concentration.)
- 靶点:
This antibody recognizes human mast cell tryptase, both alpha and beta isoforms.
- 抗体英文名:
Mast cell tryptase antibody [AA1]
- 抗体名:
Mast cell tryptase 抗体 [AA1]
- 规格:
200 μg
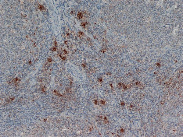
IHC analysis of human tonsil tissue using GTX75011 Mast cell tryptase antibody [AA1].
风险提示:丁香通仅作为第三方平台,为商家信息发布提供平台空间。用户咨询产品时请注意保护个人信息及财产安全,合理判断,谨慎选购商品,商家和用户对交易行为负责。对于医疗器械类产品,请先查证核实企业经营资质和医疗器械产品注册证情况。
文献和实验Son NV et al., J Vet Med Sci 2021 (PMID:34937843)
Purification and Characterization of Mast Cell Tryptase and Chymase from Human Tissues
. Amongst these are the serine proteases tryptase and chymase. In humans, tryptase is the most abundant mediator stored in mast cells. Chymase is present in more moderate amounts in a subpopulation of mast cells (MCTC ). This subtype of mast cells predominates in connective
Mast Cell Ultrastructure and Staining in Tissue
cells, special stains, such as mast cell tryptase or CD117, are required.
Expression of Cell Surface Antigens on Mast Cells: Mast Cell Phenotyping
During the past few decades, a number of functionally important cell surface antigens have been detected on human mast cells (MCs). These antigens include the stem cell factor receptor (SCFR/CD117), the high-affinity immunoglobulin E receptor
技术资料暂无技术资料 索取技术资料







![SPTBN2 antibody [SPTBN2/2894R]](https://img1.dxycdn.com/2022/0328/168/5731651267639700453-14.jpg!wh200)



