相关产品推荐更多 >
万千商家帮你免费找货
0 人在求购买到急需产品
- 详细信息
- 文献和实验
- 技术资料
- 免疫原:
Synthetic peptide corresponding to amino acids 2-17 of murine caspase 12.
- 亚型:
IgG
- 形态:
Liquid
- 保存条件:
Store as concentrated solution. Centrifuge briefly prior to opening vial. For short-term storage (1-2 weeks), store at 4ºC. For long-term storage, aliquot and store at -20ºC or below. Avoid multiple freeze-thaw cycles.
- 克隆性:
Polyclonal
- 标记物:
Unconjugated
- 适应物种:
Human, Mouse, Rat
- 保质期:
12 months from the shipping date of the product.
- 抗原来源:
Mouse
- 目录编号:
GTX74429
- 级别:
Primary Antibodies
- 库存:
Available
- 供应商:
GeneTex
- 宿主:
Rabbit
- 应用范围:
WB, IHC-P
- 浓度:
1 mg/ml (Please refer to the vial label for the specific concentration.)
- 靶点:
This antibody recognizes the N-terminal region of murine Caspase 12.
- 抗体英文名:
Caspase 12 antibody, N-term
- 抗体名:
Caspase 12 抗体, N-term
- 规格:
100 μg
WB analysis of human (A) and mouse (B) spleen tissue lysate using GTX74429 Caspase 12 antibody.
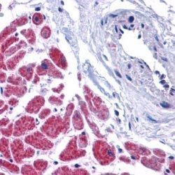
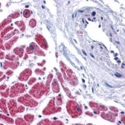
IHC-P analysis of human heart tissue using GTX74429 Caspase 12 antibody, N-term.
风险提示:丁香通仅作为第三方平台,为商家信息发布提供平台空间。用户咨询产品时请注意保护个人信息及财产安全,合理判断,谨慎选购商品,商家和用户对交易行为负责。对于医疗器械类产品,请先查证核实企业经营资质和医疗器械产品注册证情况。
文献和实验Hsieh JT et al., Urology 2016 (PMID:26820120)
olivial 最近想做caspase-3的WB,但关于caspase-3的活化有一个问题一直没弄明白,想请教。 在没受刺激前,细胞内的caspase-3以procaspase的形式存在,当受到内外源性刺激时,被活化成异二聚体,该异二聚体由p12和p17两个亚基组成。但procaspase是怎样变成异二聚体的呢?是self-cleavage,还是上游信号如caspase-8、9裂解的? selenium
Caspase家族在介导细胞凋亡的过程中起着非常重要的作用,其中caspase-3为关键的执行分子,它在凋亡信号传导的许多途径中发挥功能。Caspase-3正常以酶原(32KD)的形式存在于胞浆中,在凋亡的早期阶段,它被激活,活化的Caspase-3由两个大亚基(17KD)和两个小亚基(12KD)组成,裂解相应的胞浆胞核底物,最终导致细胞凋亡。但在细胞凋亡的晚期和死亡细胞,caspase-3的活性明显下降。1、Western blot 分析Procaspase-3的活化,以及活化
[3] 。但据报道,MCF-7 人乳腺癌细胞系中,因在 CASP-3 基因 exon 3 中存在 47bp 的缺失而不表达 caspase 3 蛋白[4] 。前体形式的 caspase-3 由一个前端功能区(prodomain)和一大一小两个催化亚单位构成。在特定的刺激比如配体受体互作、生长因子匮乏和细胞功能抑制剂等的作用下,未活化的酶原形式的 caspase-3 在 Asp-28/Ser-29(N 端功能前区)以及 Asp-175/Ser-176(大小亚基之间)被剪切活化,转变为活化的 p17 大亚
技术资料暂无技术资料 索取技术资料







![Peptide YY antibody [04]](https://img1.dxycdn.com/2022/0329/314/3903272271957020453-14.jpg!wh200)

![Importin beta 1 antibody [3E9]](https://img1.dxycdn.com/2022/0328/995/1231155478019300453-14.jpg!wh200)

