相关产品推荐更多 >
万千商家帮你免费找货
0 人在求购买到急需产品
- 详细信息
- 技术资料
- 免疫原:
Synthetic 16 amino acid peptide from C-terminus of human GPR1.
- 亚型:
IgG
- 形态:
Liquid
- 保存条件:
Store as concentrated solution. Centrifuge briefly prior to opening vial. For short-term storage (1-2 weeks), store at 4ºC. For long-term storage, aliquot and store at -20ºC or below. Avoid multiple freeze-thaw cycles.
- 克隆性:
Polyclonal
- 标记物:
Unconjugated
- 适应物种:
Human, Dog, Monkey
- 保质期:
12 months from the shipping date of the product.
- 抗原来源:
Human
- 目录编号:
GTX71663
- 级别:
Primary Antibodies
- 库存:
Available
- 供应商:
GeneTex
- 宿主:
Rabbit
- 应用范围:
ICC/IF, IHC-P
- 浓度:
1 mg/ml (Please refer to the vial label for the specific concentration.)
- 靶点:
GPR1
- 抗体英文名:
GPR1 antibody
- 抗体名:
GPR1 抗体
- 规格:
25 μg
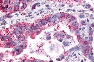
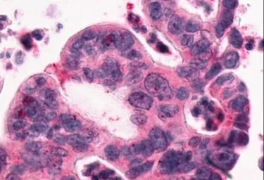
IHC-P analysis of human pancreas, carcinoma tissue using GTX71663 GPR1 antibody.
Antigen retrieval : Heat-induced antigen retrieval
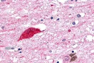
IHC-P analysis of brain, substantia nigra tissue using GTX71663 GPR1 antibody.
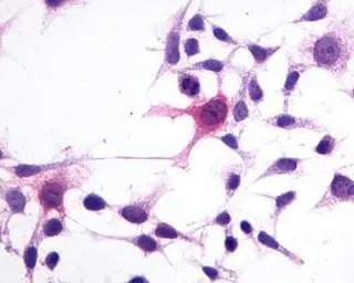
ICC/IF analysis of HEK293 transfected with GPR1 using GTX71663 GPR1 antibody.
ICC/IF analysis of HEK293 transfected with GPR1 using GTX71663 GPR1 antibody.
IHC-P analysis of human brain, neurons and glia tissue using GTX71663 GPR1 antibody.
Antigen retrieval : Heat-induced antigen retrieval
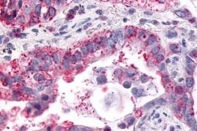
IHC-P analysis of human lung, adenocarcinoma tissue using GTX71663 GPR1 antibody.
Antigen retrieval : Heat-induced antigen retrieval
风险提示:丁香通仅作为第三方平台,为商家信息发布提供平台空间。用户咨询产品时请注意保护个人信息及财产安全,合理判断,谨慎选购商品,商家和用户对交易行为负责。对于医疗器械类产品,请先查证核实企业经营资质和医疗器械产品注册证情况。
技术资料暂无技术资料 索取技术资料





![GFM2 antibody [N3C2], Internal](https://img1.dxycdn.com/2022/0328/830/7129056617934300453-14.jpg!wh200)
![p75 NGF Receptor / CD271 antibody [SPM299]](https://img1.dxycdn.com/2022/0328/462/5054232267470700453-14.jpg!wh200)
![Cytokeratin 14 antibody [101]](https://img1.dxycdn.com/2022/0328/357/4937389383497700453-14.png!wh200)
![Cytokeratin 19 antibody [SPM266]](https://img1.dxycdn.com/2022/0328/354/9433911256320700453-14.jpg!wh200)

