相关产品推荐更多 >
万千商家帮你免费找货
0 人在求购买到急需产品
- 详细信息
- 文献和实验
- 技术资料
- 免疫原:
Recombinant Human CD171 / N-CAML1 / L1CAM protein
- 亚型:
IgG
- 形态:
Liquid
- 保存条件:
Store as concentrated solution. Centrifuge briefly prior to opening vial. For short-term storage (1-2 weeks), store at 4ºC. For long-term storage, aliquot and store at -20ºC or below. Avoid multiple freeze-thaw cycles.
- 克隆性:
Monoclonal
- 标记物:
Unconjugated
- 适应物种:
Human
- 保质期:
12 months from the shipping date of the product.
- 抗原来源:
Human
- 目录编号:
GTX02026
- 级别:
Primary Antibodies
- 库存:
Available
- 供应商:
GeneTex
- 宿主:
Rabbit
- 应用范围:
ICC/IF, IHC-P, FACS
- 浓度:
Batch dependent (Please refer to the vial label for the specific concentration.)
- 靶点:
L1CAM
- 抗体英文名:
L1CAM antibody [014]
- 抗体名:
L1CAM 抗体 [014]
- 规格:
100 μl
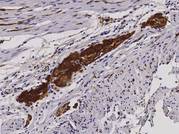
IHC-P analysis of human appendix tissue section using GTX02026 L1CAM antibody [014].
Dilution : 1:200
ICC/IF analysis of PFA-fixed HeLa cells using GTX02026 L1CAM antibody [014].
Green : Primary antibodyBlue : DAPI
Dilution : 1:60
FACS analysis of HeLa cells using GTX02026 L1CAM antibody [014].
The histogram were derived from gated events with the forward and side light-scatter characteristics of intact cells.
风险提示:丁香通仅作为第三方平台,为商家信息发布提供平台空间。用户咨询产品时请注意保护个人信息及财产安全,合理判断,谨慎选购商品,商家和用户对交易行为负责。对于医疗器械类产品,请先查证核实企业经营资质和医疗器械产品注册证情况。
文献和实验推荐一本书--Protein Arrays: Methods and Protocols
. 1. Protein Arrays From cDNA Expression Libraries Weiner, Hendrik; Faupel, Thomas; B?ssow, Konrad pp. 001-014 2. Protein Expression Arrays for Proteomics Gilbert, Michele; Edwards, Todd C.; Albala, Joanna S. pp. 015-024 3. Generation of Protein
In situ hybridization of yeast cells (RNA and Oligonucleotide probes)
, and incubating 40 minutes at room temperature. III. Spheroplasting: Cells are resuspended in 1ml of buffer B containing 20mM Vanadyl-ribonucleoside complex (Gibco-BRL cat#15522-014), 28mM ß-mercaptoethanol, 0.06mg/ml Phenylmethylsulfonyl
In situ hybridization of yeast cells (RNA and Oligonucleotide probes)
at room temperature. III. Spheroplasting: Cells are resuspended in 1ml of buffer B containing 20mM Vanadyl-ribonucleoside complex (Gibco-BRL cat#15522-014), 28mM ß-mercaptoethanol, 0.06mg/ml Phenylmethylsulfonyl Fluoride, and transfered
技术资料暂无技术资料 索取技术资料






![EGFR (phospho Tyr1173) antibody [9H2]](https://img1.dxycdn.com/2022/0328/950/1397748729234400453-14.jpg!wh200)




