相关产品推荐更多 >
万千商家帮你免费找货
0 人在求购买到急需产品
- 详细信息
- 文献和实验
- 技术资料
- 免疫原:
Synthetic 18 amino acid peptide from C-terminus of human BDKRB1.
- 亚型:
IgG
- 形态:
Liquid
- 保存条件:
Store as concentrated solution. Centrifuge briefly prior to opening vial. For short-term storage (1-2 weeks), store at 4ºC. For long-term storage, aliquot and store at -20ºC or below. Avoid multiple freeze-thaw cycles.
- 克隆性:
Polyclonal
- 标记物:
Unconjugated
- 适应物种:
Human, Monkey
- 保质期:
12 months from the shipping date of the product.
- 抗原来源:
Human
- 目录编号:
GTX70845
- 级别:
Primary Antibodies
- 库存:
Available
- 供应商:
GeneTex
- 宿主:
Rabbit
- 应用范围:
IHC-P
- 浓度:
1 mg/ml (Please refer to the vial label for the specific concentration.)
- 靶点:
Bradykinin B1 receptor
- 抗体英文名:
Bradykinin B1 receptor antibody
- 抗体名:
Bradykinin B1 receptor 抗体
- 规格:
25 μg
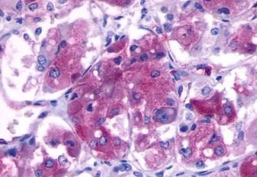
IHC-P analysis of pituitary tissue using GTX70845 Bradykinin B1 receptor antibody.
IHC-P analysis of pituitary tissue using GTX70845 Bradykinin B1 receptor antibody.
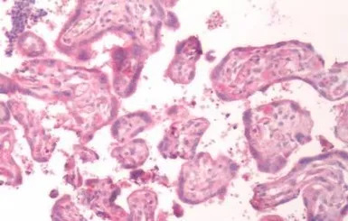
IHC-P analysis of human placenta tissue using GTX70845 Bradykinin B1 receptor antibody.
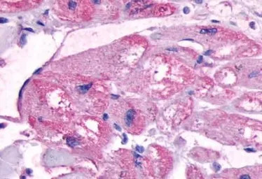
IHC-P analysis of heart, myocardial infarct tissue using GTX70845 Bradykinin B1 receptor antibody.
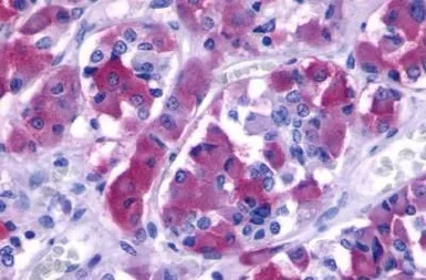
IHC-P analysis of human nasal mucosa tissue using GTX70845 Bradykinin B1 receptor antibody.
Antigen retrieval : Heat-induced antigen retrieval
IHC-P analysis of human vascular smooth muscle tissue using GTX70845 Bradykinin B1 receptor antibody.
风险提示:丁香通仅作为第三方平台,为商家信息发布提供平台空间。用户咨询产品时请注意保护个人信息及财产安全,合理判断,谨慎选购商品,商家和用户对交易行为负责。对于医疗器械类产品,请先查证核实企业经营资质和医疗器械产品注册证情况。
文献和实验Seigo Nagashima et al., Int J Mol Sci 2022 (PMID:35163636)
2 瓶 底物工作液( TMB Solution ) 12ml 第一抗体工作液( Biotinylated Antibody ) 12ml 终止液 ( Stop Solution ) 12ml
上海西唐生物科技有限公司 021-55229872, 65333639 www.westang.com 大鼠缓激肽 (Bradykinin)ELISA 试剂盒 ( 用于血清、血浆、细胞培养上清液和其它生物体液内 ) 原理 本实验采用双抗体夹心 ABC-ELISA 法。用抗大鼠 Bradykinin 单抗包被于酶标板上,标准品和样品中的 Bradykinin 与单抗结合,加入生物素化的抗大
Aspects of CNS Lupus: Mouse Models of Anti-NMDA Receptor Antibody Mediated Reactivity
This chapter describes methods utilized in establishing a mouse model of neuropsychiatric lupus encompassing both cognitive and emotional dysfunction, and a model of the influence of maternal antibody on the developing brain. The antibody
技术资料暂无技术资料 索取技术资料






![HLA-G antibody [MEM-G/11] (FITC)](https://img1.dxycdn.com/2022/0328/835/2730069868235500453-14.jpeg!wh200)
![ATP6V1A antibody [GT1561]](https://img1.dxycdn.com/2022/0329/559/9483866950047020453-14.jpg!wh200)



