相关产品推荐更多 >
万千商家帮你免费找货
0 人在求购买到急需产品
- 详细信息
- 文献和实验
- 技术资料
- 亚型:
IgG2b
- 形态:
Liquid
- 保存条件:
Store as concentrated solution. Centrifuge briefly prior to opening vial. For short-term storage (1-2 weeks), store at 4ºC. For long-term storage, aliquot and store at -20ºC or below. Avoid multiple freeze-thaw cycles.
- 克隆性:
Monoclonal
- 标记物:
Unconjugated
- 适应物种:
Human
- 保质期:
12 months from the shipping date of the product.
- 抗原来源:
Human
- 目录编号:
GTX70020
- 级别:
Primary Antibodies
- 库存:
Available
- 供应商:
GeneTex
- 宿主:
Mouse
- 应用范围:
WB, ICC/IF, IHC-P, IHC-Fr, FACS, IP, IHC
- 浓度:
Batch dependent (Please refer to the vial label for the specific concentration.)
- 靶点:
Clone GT12 binds to linear repetitive epitope in the PG region and allows for selective detection of both native and denatured CA IX without cross-reactivity to other carbonic anhydrases.
- 抗体英文名:
Carbonic Anhydrase IX antibody [GT12]
- 抗体名:
Carbonic Anhydrase IX 抗体 [GT12]
- 规格:
100 μl
Carbonic Anhydrase IX antibody [GT12] detects Carbonic Anhydrase IX protein at cell membrane by immunohistochemical analysis.
Sample: Paraffin-embedded human cervical carcinoma.
Carbonic Anhydrase IX stained by Carbonic Anhydrase IX antibody [GT12] (GTX70020) diluted at 1:500.
Antigen Retrieval: Citrate buffer, pH 6.0, 15 min
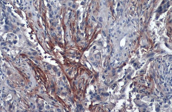
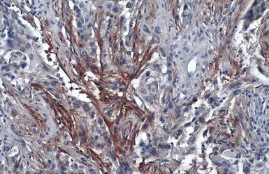
Immunohistochemical analysis of paraffin-embedded cervical CA tissue sections using anti-CAIX antibody [GT12] (GTX70020) at a dilution of 1:1000. The hypoxic regions of the tumor show positive CAIX staining.
Immunohistochemical analysis of paraffin-embedded renal cell carcinoma (clear cell type) using anti-CAIX antibody [GT12] (GTX70020) at a dilution of 1:1000.
Immunohistochemical analysis of paraffin-embedded cervical CA tissue sections using anti-CAIX antibody [GT12] (GTX70020) at a dilution of 1:1000. The hypoxic regions of the tumor show positive CAIX staining.
Flow cytometry on HeLa cells (1x10^6) stained with anti-CAIX antibody [GT12] (GTX70020) at a 1:1000 dilution. HeLa cells were untreated (green) or treated with 200μM CoCl2 (pink) for 48 hr.
Confocal immunofluorescence analysis (Olympus FV10i) of methanol-fixed A431 cells treated with 200μM CoCl2 for 48hr using anti-CAIX antibody [GT12] (GTX70020) at a dilution of 1:1000.
Sample (30 μg HeLa whole cell lysate)
A: 24 hr Untreated
B: 24 hr treatment with 100μM CoCl2
C: 24 hr treatment with 200μM CoCl2
D: 48 hr Untreated
E: 48 hr treatment with 100μM CoCl2
F: 48 hr treatment with 200μM CoCl2
Anti-CAIX antibody [GT12] (GTX70020) was used at a dilution of 1:1000
The HRP-conjugated anti-mouse IgG antibody (GTX213111-01) was used to detect the primary antibody.
风险提示:丁香通仅作为第三方平台,为商家信息发布提供平台空间。用户咨询产品时请注意保护个人信息及财产安全,合理判断,谨慎选购商品,商家和用户对交易行为负责。对于医疗器械类产品,请先查证核实企业经营资质和医疗器械产品注册证情况。
文献和实验Yeh YH et al., J Exp Clin Cancer Res 2018 (PMID:29587825)
Ramchandani D et al., Lab Invest 2016 (PMID:27721473)
Abd-Aziz N et al., Oncol Lett 2015 (PMID:26622817)
Huang WJ et al., PLoS One 2015 (PMID:25738958)
Hou P et al., PLoS One 2014 (PMID:25420025)
Wiegering A et al., Neoplasia 2014 (PMID:25425971)
Pritchett TL et al., Oncogene 2014 (PMID:25023703)
Hwang-Verslues WW et al., Proc Natl Acad Sci U S A 2013 (PMID:23836662)
Tang X et al., Cell Prolif 2021 (PMID:34390064)
Jin X et al., Nat Med 2017 (PMID:29035367)
Davis RM et al., ACS Nano 2018 (PMID:30203645)
Thompson JM et al., Mol Cancer Ther 2018 (PMID:29720560)
【Jounal club】NATURE MEDICINE: 利用蛋白组技术发现糖尿病眼底病变新机制
News and Views: A prize catch for diabetic retinopathy Nature Medicine - 13, 131 - 132 (2007) Article: Extracellular carbonic anhydrase mediates hemorrhagic retinal and cerebral vascular permeability through prekallikrein activation Nature
. Balasubramanian, Artificial chaperoning of insulin, human carbonic anhydrase and hen egg lysozyme using linear dextrin chains-a sweet route to the native state of globular proteins, FEBS Lett. 443 (1999) 215-219. 46. M. Yoshimoto, R. Kuboi, Oxidative refolding
【资源】全面归类网址:毕赤酵母表达各种来源蛋白(细菌,真菌,植物,人类等)
Porcine follicle-stimulating hormoneS, 10 mg/L, PHO1[174]Porcine inhibitor of carbonic anhydrase (transferrin family)S, 5 mg/L, α-MF[175]Porcine single-chain interleukin-12S, 4 mg/L,α-MF, active370Porcine leukocyte 12-lipoxygenaseI[176]Porcine lactoferrinS
技术资料暂无技术资料 索取技术资料





![SCGN antibody [N2C3]](https://img1.dxycdn.com/2022/0328/808/6013221537611300453-14.jpg!wh200)


![Mist1 antibody [6E8/A12/C11P1]](https://img1.dxycdn.com/2022/0328/960/8404842687065500453-14.jpg!wh200)

