相关产品推荐更多 >
万千商家帮你免费找货
0 人在求购买到急需产品
- 详细信息
- 文献和实验
- 技术资料
- 免疫原:
Mouse Mist1, C-terminus residues 175-197.
- 亚型:
IgG
- 形态:
Liquid
- 保存条件:
Store as concentrated solution. Centrifuge briefly prior to opening vial. For short-term storage (1-2 weeks), store at 4ºC. For long-term storage, aliquot and store at -20ºC or below. Avoid multiple freeze-thaw cycles.
- 克隆性:
Monoclonal
- 标记物:
Unconjugated
- 适应物种:
Human, Mouse
- 保质期:
12 months from the shipping date of the product.
- 抗原来源:
Mouse
- 目录编号:
GTX79479
- 级别:
Primary Antibodies
- 库存:
Available
- 供应商:
GeneTex
- 宿主:
Mouse
- 应用范围:
WB, IHC-P, IHC-Fr
- 浓度:
1 mg/ml (Please refer to the vial label for the specific concentration.)
- 靶点:
Mist1
- 抗体英文名:
Mist1 antibody [6E8/A12/C11P1]
- 抗体名:
Mist1 抗体 [6E8/A12/C11P1]
- 规格:
100 μg
IHC-P analysis of mouse pancreas tissue using GTX79479 Mist1 antibody [6E8/A12/C11P1].
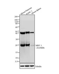
WB analysis of whole cell extracts (30 μg lysate) of Mouse Pancreas (Lane 1), Panc1 (Lane 2) and Mouse spleen (Lane 3) using GTX79479 Mist1 antibody [6E8/A12/C11P1].
Dilution : 1:100-1:500
风险提示:丁香通仅作为第三方平台,为商家信息发布提供平台空间。用户咨询产品时请注意保护个人信息及财产安全,合理判断,谨慎选购商品,商家和用户对交易行为负责。对于医疗器械类产品,请先查证核实企业经营资质和医疗器械产品注册证情况。
文献和实验Evaluation of Recombinant Antibodies on Protein Microarrays Applying the Multiple Spotting Technique
method – the multiple spotting technique (MIST) – for the simultaneous evaluation of hundreds of phage display derived soluble monoclonal antibody fragments on protein microarrays. The standard operating procedures provided include the expression
ELISPOT (Enzyme-linked ImmunoSPOT)
of cytokine-producing cells at the single cell level. The method employs the sandwich assay approach of the enzyme-linked immunosorbent assay (ELISA), with some variations. The ELISPOT capture antibody is coated aseptically onto a polyvinylidene difluoride
a subset of genomic DNA sequences of type 5'-(NNN )3 -3', whereas the 6ZF library would recognize a subset of genomic sequences of type 5'-(NNN )6 -3'. Given the zinc-finger domains used, both libraries were more likely to recognize (RNN)x -type sequences
技术资料暂无技术资料 索取技术资料









![Yellow Fever virus Envelope Protein antibody [HL2409]](https://custom.dxycdn.com/trademd/upload/pic/2013/11/12/A1383891150.jpg!small.t.1)

