相关产品推荐更多 >
万千商家帮你免费找货
0 人在求购买到急需产品
- 详细信息
- 文献和实验
- 技术资料
- 免疫原:
The immunogen used to generate this antibody corresponds to Influenza A virus H5N1 HA (Hemagglutinin). (Influenza A virus (A/Hatay/2004/(H5N1))) The exact sequence is proprietary.
- 亚型:
IgG1, IgG2a
- 形态:
Liquid
- 保存条件:
Store as concentrated solution. Centrifuge briefly prior to opening vial. For short-term storage (1-2 weeks), store at 4ºC. For long-term storage, aliquot and store at -20ºC or below. Avoid multiple freeze-thaw cycles.
- 克隆性:
Monoclonal
- 标记物:
Unconjugated
- 适应物种:
Avian Influenza A virus
- 保质期:
12 months from the shipping date of the product.
- 抗原来源:
Influenza A virus
- 目录编号:
GTX632358
- 级别:
Primary Antibodies
- 库存:
Available
- 供应商:
GeneTex
- 宿主:
Mouse
- 应用范围:
WB, ICC/IF
- 浓度:
1.04 mg/ml (Please refer to the vial label for the specific concentration.)
- 靶点:
Avian Influenza A virus H5N1 HA (Hemagglutinin)
- 抗体英文名:
Avian Influenza A virus H5N1 HA (Hemagglutinin) antibody [1D10]
- 抗体名:
Avian Influenza A virus H5N1 HA (Hemagglutinin) 抗体 [1D10]
- 规格:
100 μl/25 μl
| 规格: | 100 μl | 产品价格: | ¥4000.0 |
|---|---|---|---|
| 规格: | 25 μl | 产品价格: | ¥1700.0 |
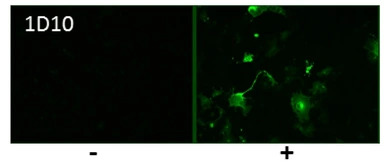
ICC/IF analysis of cos-7 cell untransfected (-) and transfected with full-length H5 Hatay/2004 (+) using GTX632358 Influenza A virus H5N1 HA (Hemagglutinin) antibody [1D10].
WB analysis of 293T cell lysates untransfected (-) and transfected with full-length H5 Hatay/2004 (+) and full-length H5 VN/04 (#) using GTX632358 Influenza A virus H5N1 HA (Hemagglutinin) antibody [1D10].
Non-transfected (–) and tEH5 ( receptor binding domain of influenza A virus hemagglutinin (H5)) transfected (+) 293T whole cell extracts (30 μg) were separated by 10% SDS-PAGE, and the membrane was blotted with Influenza A virus H5N1 HA (Hemagglutinin) antibody [1D10] (GTX632358) diluted at 1:500.
风险提示:丁香通仅作为第三方平台,为商家信息发布提供平台空间。用户咨询产品时请注意保护个人信息及财产安全,合理判断,谨慎选购商品,商家和用户对交易行为负责。对于医疗器械类产品,请先查证核实企业经营资质和医疗器械产品注册证情况。
文献和实验A Brief Introduction to the Avian Influenza Virus
The avian influenza (AI) virus is type A influenza isolated from and adapted to an avian host. Type A influenza belongs to the orthomyxovirdae virus family, is enveloped, and is pleiomorphic with a size ranging from 80–120 nm (reviewed
The hemagglutination-inhibition (HI) assay is a classical laboratory procedure for the classification or subtyping of hemagglutinating viruses. For the avian influenza (AI) virus, the HI assay is used to identify the hemagglutinin (H) subtype
and production of vaccine. Since influenza is caused by a zoonotic virus it is necessary to do surveillance in the reservoir species (aquatic waterfowls), intermediate hosts (quails, pigs), and in affected mammals including humans. Two of the hemagglutinin (HA
技术资料暂无技术资料 索取技术资料





![c-Rel antibody [N1N3]](https://img1.dxycdn.com/2022/0328/953/5338207217379200453-14.jpg!wh200)
![Chikungunya virus nsP2 antibody [HL1488]](https://img1.dxycdn.com/2023/0605/237/8408142144890755661-14.jpg!wh200)

![FOXP3 antibody [4C7]](https://img1.dxycdn.com/2022/0328/914/0185612397927500453-14.jpg!wh200)
![Adenylate kinase 4 antibody [N1C3]](https://img1.dxycdn.com/2022/0328/647/7566729780155200453-14.jpg!wh200)

