相关产品推荐更多 >
万千商家帮你免费找货
0 人在求购买到急需产品
- 详细信息
- 文献和实验
- 技术资料
- 免疫原:
Recombinant protein encompassing a sequence within the center region of human hnRNP C1/C2. The exact sequence is proprietary.
- 亚型:
IgG
- 形态:
Liquid
- 保存条件:
Store as concentrated solution. Centrifuge briefly prior to opening vial. For short-term storage (1-2 weeks), store at 4ºC. For long-term storage, aliquot and store at -20ºC or below. Avoid multiple freeze-thaw cycles.
- 克隆性:
Polyclonal
- 标记物:
Unconjugated
- 适应物种:
Human, Mouse, Rat
- 保质期:
12 months from the shipping date of the product.
- 抗原来源:
Human
- 目录编号:
GTX113463
- 级别:
Primary Antibodies
- 库存:
Available
- 供应商:
GeneTex
- 宿主:
Rabbit
- 应用范围:
WB, ICC/IF, IHC-P, IP
- 浓度:
0.79 mg/ml (Please refer to the vial label for the specific concentration.)
- 靶点:
hnRNP C1/C2
- 抗体英文名:
hnRNP C1/C2 antibody
- 抗体名:
hnRNP C1/C2 抗体
- 规格:
100 μl/25 μl
| 规格: | 100 μl | 产品价格: | ¥4000.0 |
|---|---|---|---|
| 规格: | 25 μl | 产品价格: | ¥1700.0 |
hnRNP C1/C2 antibody detects HNRNPC protein by western blot analysis.
A. 30 μg Neuro2A whole cell lysate/extract
B. 30 μg NIH-3T3 whole cell lysate/extract
C. 30 μg BCL-1 whole cell lysate/extract
D. 30 μg Raw264.7 whole cell lysate/extract
E. 30 μg C2C12 whole cell lysate/extract
12% SDS-PAGE
hnRNP C1/C2 antibody (GTX113463) dilution: 1:1000
The HRP-conjugated anti-rabbit IgG antibody (GTX213110-01) was used to detect the primary antibody.
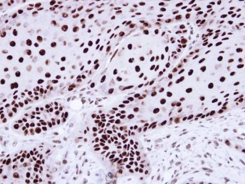
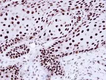
Immunohistochemical analysis of paraffin-embedded Cal27 Xenograft, using hnRNP C1/C2 (GTX113463) antibody at 1:100 dilution.
Antigen Retrieval: Citrate buffer, pH 6.0, 15 min
hnRNP C1/C2 antibody detects hnRNP C1/C2 protein at nucleus by immunofluorescent analysis.
Sample: HeLa cells were fixed in 4% PFA at RT for 15 min.
Green: hnRNP C1/C2 protein stained by hnRNP C1/C2 antibody (GTX113463) diluted at 1:500.
Red: alpha Tubulin, a cytoskeleton marker, stained by alpha Tubulin antibody [GT114] (GTX628802) diluted at 1:1000.
Blue: Hoechst 33342 staining.
hnRNP C1/C2 antibody detects hnRNP C1/C2 protein at nucleus in mouse brain by immunohistochemical analysis.
Sample: Paraffin-embedded mouse brain.
hnRNP C1/C2 antibody (GTX113463) diluted at 1:500.
Antigen Retrieval: Citrate buffer, pH 6.0, 15 min
hnRNP C1/C2 antibody detects HNRNPC protein by western blot analysis.
A. 30 μg PC-12 whole cell lysate/extract
B. 30 μg Rat2 whole cell lysate/extract
12% SDS-PAGE
hnRNP C1/C2 antibody (GTX113463) dilution: 1:1000
The HRP-conjugated anti-rabbit IgG antibody (GTX213110-01) was used to detect the primary antibody.
Sample (30 μg of whole cell lysate)
A: Raji
12% SDS PAGE
GTX113463 diluted at 1:1000
The HRP-conjugated anti-rabbit IgG antibody (GTX213110-01) was used to detect the primary antibody.
风险提示:丁香通仅作为第三方平台,为商家信息发布提供平台空间。用户咨询产品时请注意保护个人信息及财产安全,合理判断,谨慎选购商品,商家和用户对交易行为负责。对于医疗器械类产品,请先查证核实企业经营资质和医疗器械产品注册证情况。
文献和实验Chen S et al., Mol Biosyst 2014 (PMID:24292090)
Fischl H et al., Nucleic Acids Res 2019 (PMID:31147722)
Sundararaman B et al., Mol Cell 2016 (PMID:26990993)
Chen S et al., Int J Oncol 2014 (PMID:24736981)
secondary antibody review -- data from 99 publications
cytometry used as a control to detect cell responses targeted antigen 7 Alexa Fluor 488 7 Cy3 8 goat IgG Alexa Fluor 488 1:2000 detect antibody binding in human embryonic kidney 293T cells Invitrogen 9 donkey
亚单位(链)及分子量(kDa):1条 激活产物:C1r� 生物学活性:丝氨酸蛋白酶,裂解C1s 补体成分:C1s 血清浓度(μg/ml):50 分子量(kDa):85 亚单位(链)及分子量(kDa):1条 激活产物:C1s� 生物学活性:丝氨酸蛋白酶,裂解C4、C2 ELISA KIT
Dynabeads® Co-Immunoprecipitation Kit
volume of antibody C1 (according to Table 1) to the washed beads and mix by vortexing or pipetting. Example: If you are coupling 5 mg Dynabeads and your required quantity of antibodies has a volume of 100 μl, you will need to add 150 μl of C1 (i.e. 250
技术资料暂无技术资料 索取技术资料







![PFKFB4 antibody [N3C3]](https://img1.dxycdn.com/2022/0328/567/8806488773916200453-14.jpg!wh200)



