相关产品推荐更多 >
万千商家帮你免费找货
0 人在求购买到急需产品
- 详细信息
- 文献和实验
- 技术资料
- 免疫原:
synthetic peptide derived from TGFbeta1 at 310-390 aa.
- 亚型:
IgG1
- 形态:
Liquid
- 保存条件:
Store as concentrated solution. Centrifuge briefly prior to opening vial. For short-term storage (1-2 weeks), store at 4ºC. For long-term storage, aliquot and store at -20ºC or below. Avoid multiple freeze-thaw cycles.
- 克隆性:
Monoclonal
- 标记物:
Unconjugated
- 适应物种:
Human, Mouse, Rat
- 保质期:
12 months from the shipping date of the product.
- 抗原来源:
Human
- 目录编号:
GTX34273
- 级别:
Primary Antibodies
- 库存:
Available
- 供应商:
GeneTex
- 宿主:
Mouse
- 应用范围:
IHC-P
- 浓度:
1 mg/ml (Please refer to the vial label for the specific concentration.)
- 靶点:
TGF beta 1
- 抗体英文名:
TGF beta 1 antibody [10E5]
- 抗体名:
TGF beta 1 抗体 [10E5]
- 规格:
100 μl
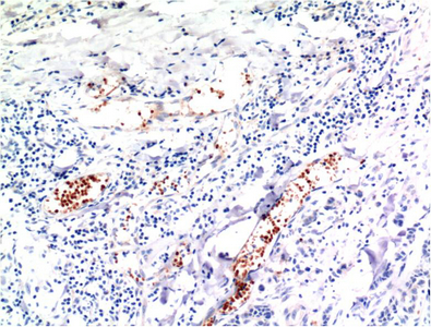
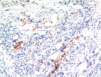
IHC-P analysis of human breast carcinoma tissue using GTX34273 TGF beta 1 antibody [10E5].
Dilution : 1:200
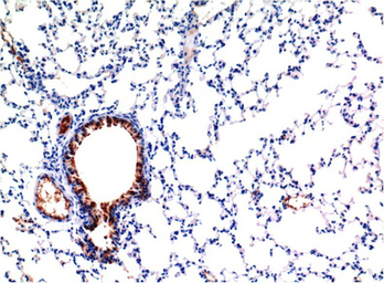
IHC-P analysis of mouse lung tissue using GTX34273 TGF beta 1 antibody [10E5].
Dilution : 1:200
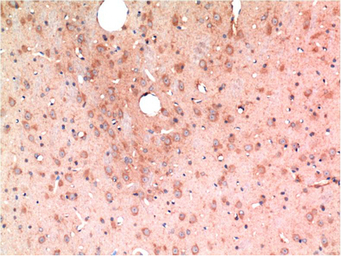
IHC-P analysis of rat brain tissue using GTX34273 TGF beta 1 antibody [10E5].
Dilution : 1:200
风险提示:丁香通仅作为第三方平台,为商家信息发布提供平台空间。用户咨询产品时请注意保护个人信息及财产安全,合理判断,谨慎选购商品,商家和用户对交易行为负责。对于医疗器械类产品,请先查证核实企业经营资质和医疗器械产品注册证情况。
文献和实验secondary antibody review -- data from 99 publications
cytometry used as a control to detect cell responses targeted antigen 7 Alexa Fluor 488 7 Cy3 8 goat IgG Alexa Fluor 488 1:2000 detect antibody binding in human embryonic kidney 293T cells Invitrogen 9 donkey
人转化生长因子-b2(TGF-b2)ELISA试剂盒 说明书
倍数 1 0 。 ( 注意:不同的标本TGF-β 2 的水平可能有较大差异,请根据实际情况灵活掌握稀释度) 检测程序 1. 加样:每孔各加入标准品或待测样品(已激活) 100ul ,将反应板充分混匀后置 37 ℃ 120 分钟。 2. 洗板:用洗涤液将反应板充分洗涤 4-6 次,向滤纸上印干。 3. 每孔中加入第一抗体工作液10 0ul 。将反应板充分混匀后置 37 ℃ 6 0 分钟。 4. 洗板:同前。 5. 每孔加
1.5ml 进口聚丙烯管中 , 再加 10ul 血清或血浆标本。 2. 加20ul 1 N HC I ,盖紧,上下混匀。 2 - 8 ℃ 放置60± 2 分钟。 3. 加20ul 1 N NaOH, 盖紧,上下混匀。 4. 即用,或放-20/-70 ℃ 保存3 天。计算结果时乘 以稀释倍数 50 。 ( 注意:不同的标本TGF-β 的水平可能有较大差异,请根据实际情况灵活掌握稀释度)
技术资料暂无技术资料 索取技术资料






![Fibroblasts/Epithelial antibody [D7-FIB]](https://img1.dxycdn.com/2022/0328/028/5591224056119200453-14.jpg!wh200)

![ThrRS antibody [N3C3]](https://img1.dxycdn.com/2022/0328/602/0917376965271300453-14.jpg!wh200)


