相关产品推荐更多 >
万千商家帮你免费找货
0 人在求购买到急需产品
- 详细信息
- 文献和实验
- 技术资料
- 免疫原:
Drosophila Cdc73 (Cell division cycle protein 73), using the full length recombinant protein.
- 亚型:
IgG
- 形态:
Liquid
- 保存条件:
Store as concentrated solution. Centrifuge briefly prior to opening vial. For short-term storage (1-2 weeks), store at 4ºC. For long-term storage, aliquot and store at -20ºC or below. Avoid multiple freeze-thaw cycles.
- 克隆性:
Polyclonal
- 标记物:
Unconjugated
- 适应物种:
Human, Drosophila
- 保质期:
12 months from the shipping date of the product.
- 抗原来源:
Drosophila
- 目录编号:
GTX60804
- 级别:
Primary Antibodies
- 库存:
Available
- 供应商:
GeneTex
- 宿主:
Rabbit
- 应用范围:
WB, IP, ChIP assay
- 浓度:
2 mg/ml (Please refer to the vial label for the specific concentration.)
- 靶点:
CDC73
- 抗体英文名:
CDC73 antibody - ChIP grade
- 抗体名:
CDC73 抗体 - ChIP grade
- 规格:
50 μg
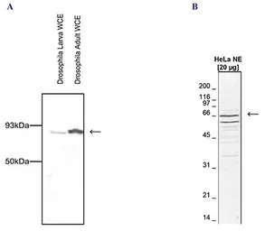
WB analysis of whole cell extracts (WCE) from drosophila larva and drosophila adults (Figure 1A) or on nuclear extracts from HeLa cells (HeLa NE, 20 μg) (Figure 1B) using GTX60804 CDC73 antibody - ChIP grade.
Dilution : 1:1,000
风险提示:丁香通仅作为第三方平台,为商家信息发布提供平台空间。用户咨询产品时请注意保护个人信息及财产安全,合理判断,谨慎选购商品,商家和用户对交易行为负责。对于医疗器械类产品,请先查证核实企业经营资质和医疗器械产品注册证情况。
文献和实验Herring Sperm DNA37% Formaldehyde (ACS reagent grade)1.25 M glycineProtocol: (Generalized for all cell types- inquire for details regarding particular cell types) For all the following steps,use the pipets that are specifically designated for ChIP use
Characterization and Quality Control of Antibodies Used in ChIP Assays
, modifying enzymes, and chromatin-interacting proteins. The final purpose of the characterization and QC is to label antibodies as chromatin immunoprecipitation (ChIP) grade. Indeed, the ChIP method is extensively used in epigenetics to study gene regulation
ChIP‐chip for Genome‐Wide Analysis of Protein Binding in Mammalian Cells
Abstract Table of Contents Materials Figures Literature Cited Abstract ChIP?chip combines
技术资料暂无技术资料 索取技术资料





![PGP9.5 antibody [UCHL1/775]](https://img1.dxycdn.com/2022/0328/065/3615328295590700453-14.jpg!wh200)
![Glypican-3 antibody [9C2]](https://img1.dxycdn.com/2022/0328/711/2898810041723500453-14.jpg!wh200)
![HLA-G antibody [5A6G7] (Biotin)](https://img1.dxycdn.com/2022/0328/895/8002650389816500453-14.jpg!wh200)


