相关产品推荐更多 >
万千商家帮你免费找货
0 人在求购买到急需产品
- 详细信息
- 文献和实验
- 技术资料
- 免疫原:
Purified recombinant fragment of human FLIP (AA: 100-251) expressed in E. Coli.
- 亚型:
IgG1
- 形态:
Liquid
- 保存条件:
Store as concentrated solution. Centrifuge briefly prior to opening vial. For short-term storage (1-2 weeks), store at 4ºC. For long-term storage, aliquot and store at -20ºC or below. Avoid multiple freeze-thaw cycles.
- 克隆性:
Monoclonal
- 标记物:
Unconjugated
- 适应物种:
Human, Mouse
- 保质期:
12 months from the shipping date of the product.
- 抗原来源:
Human
- 目录编号:
GTX60781
- 级别:
Primary Antibodies
- 库存:
Available
- 供应商:
GeneTex
- 宿主:
Mouse
- 应用范围:
WB, IHC-P, FACS, ELISA
- 浓度:
1 mg/ml (Please refer to the vial label for the specific concentration.)
- 靶点:
FLIP
- 抗体英文名:
FLIP antibody [7A3D12]
- 抗体名:
FLIP 抗体 [7A3D12]
- 规格:
100 μg
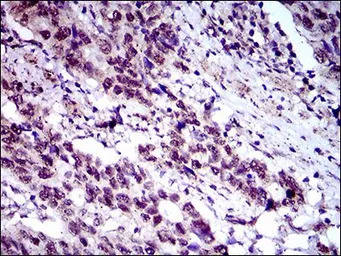
IHC-P analysis of esophagus cancer tissue using GTX60781 FLIP antibody [7A3D12].
WB analysis of Jurkat (1), 3T3L1 (2) and Raji (3) cell lysate using GTX60781 FLIP antibody [7A3D12].
ELISA analysis of antigen using GTX60781 FLIP antibody [7A3D12].
Black : Control antigen 100ng
Purple : Antigen 10ng
Blue : Antigen 50ng
Red : Antigen 100ng
FACS analysis of JURKAT cells using GTX60781 FLIP antibody [7A3D12].
Green : FLIP
Red : negative control
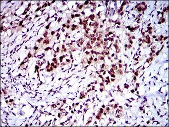
IHC-P analysis of cervical cancer tissue using GTX60781 FLIP antibody [7A3D12].
风险提示:丁香通仅作为第三方平台,为商家信息发布提供平台空间。用户咨询产品时请注意保护个人信息及财产安全,合理判断,谨慎选购商品,商家和用户对交易行为负责。对于医疗器械类产品,请先查证核实企业经营资质和医疗器械产品注册证情况。
文献和实验IMMUNOSCREENING OF WITH ANTIBODY PROBES
in 10mM IPTG (MW=238.31). Briefly blot the excess solution from the filters, and wrap them in cellophane. These should be moist and stored at 4°C. We typically adsorb serum with five 150 mm Petri dishes of lysed E. coli to reduce anti-E. coli antibody
ELISA Procedure for Measuring Serum Antibody Titer
Immunoassays are a powerful technique for detecting and measuring antigens and antibodies. Immunoassays can be classified three ways based on the steps involved: antibody capture antigen capture two-antibody sandwich Many types of immunoassays
IMMUNOSCREENING OF LAMBDA-GT11 BACTERIOPHAGE LIBRARIES WITH ANTIBODY PROBES
dishes of lysed E. coli to reduce anti-E. coli antibody background. These antibodies are present in all human sera, rabbit sera, and rodent sera. For each Petri dish containing solidified LB agar, mix 0.6ml of the Y1090 overnight-saturated culture with 30
技术资料暂无技术资料 索取技术资料











