相关产品推荐更多 >
万千商家帮你免费找货
0 人在求购买到急需产品
- 详细信息
- 文献和实验
- 技术资料
- 免疫原:
Recombinant protein encompassing a sequence within the C-terminus region of human BACE2. The exact sequence is proprietary.
- 亚型:
IgG
- 形态:
Liquid
- 保存条件:
Store as concentrated solution. Centrifuge briefly prior to opening vial. For short-term storage (1-2 weeks), store at 4ºC. For long-term storage, aliquot and store at -20ºC or below. Avoid multiple freeze-thaw cycles.
- 克隆性:
Polyclonal
- 标记物:
Unconjugated
- 适应物种:
Human, Mouse, Rat
- 保质期:
12 months from the shipping date of the product.
- 抗原来源:
Human
- 目录编号:
GTX113951
- 级别:
Primary Antibodies
- 库存:
Available
- 供应商:
GeneTex
- 宿主:
Rabbit
- 应用范围:
WB, ICC/IF, IHC-P
- 浓度:
0.83 mg/ml (Please refer to the vial label for the specific concentration.)
- 靶点:
BACE2
- 抗体英文名:
BACE2 antibody [C1C3]
- 抗体名:
BACE2 抗体 [C1C3]
- 规格:
100 μl/25 μl
| 规格: | 100 μl | 产品价格: | ¥4000.0 |
|---|---|---|---|
| 规格: | 25 μl | 产品价格: | ¥1700.0 |
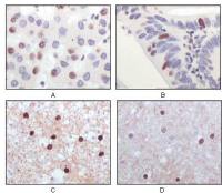
BACE2 antibody [C1C3] detects BACE2 protein at cytoplasm in Rat brain by immunohistochemical analysis.
Sample: Paraffin-embedded Rat brain.
BACE2 antibody [C1C3] (GTX113951) diluted at 1:500.
Antigen Retrieval: Citrate buffer, pH 6.0, 15 min
BACE2 antibody [C1C3] detects BACE2 protein at cytosol on rat fore brain by immunohistochemical analysis.
Sample: Paraffin-embedded rat fore brain.
BACE2 antibody [C1C3] (GTX113951) dilution: 1:500.
Antigen Retrieval: Trilogy™ (EDTA based, pH 8.0) buffer, 15min
BACE2 antibody [C1C3] detects BACE2 protein at cytosol on human breast carcinoma by immunohistochemical analysis.
Sample: Paraffin-embedded human breast carcinoma.
BACE2 antibody [C1C3] (GTX113951) dilution: 1:500.
Antigen Retrieval: Trilogy™ (EDTA based, pH 8.0) buffer, 15min
Immunofluorescence analysis of methanol-fixed A431, using BACE2(GTX113951) antibody at 1:500 dilution.
Sample (30 ug of whole cell lysate)
A: Jurkat
7.5% SDS PAGE
GTX113951 diluted at 1:1000
风险提示:丁香通仅作为第三方平台,为商家信息发布提供平台空间。用户咨询产品时请注意保护个人信息及财产安全,合理判断,谨慎选购商品,商家和用户对交易行为负责。对于医疗器械类产品,请先查证核实企业经营资质和医疗器械产品注册证情况。
文献和实验Ren J et al., Acta Biochim Biophys Sin (Shanghai) 2022 (PMID:35130621)
Zhao L et al., Am J Pathol 2018 (PMID:29341888)
技术资料暂无技术资料 索取技术资料





![ARAP1 antibody [ARAP1-2]](https://img1.dxycdn.com/2022/0328/593/6082121393016500453-14.jpg!wh200)





