相关产品推荐更多 >
万千商家帮你免费找货
0 人在求购买到急需产品
- 详细信息
- 文献和实验
- 技术资料
- 免疫原:
Purified recombinant fragment of human KIT expressed in E. Coli.
- 亚型:
IgG1
- 形态:
Liquid
- 保存条件:
Store as concentrated solution. Centrifuge briefly prior to opening vial. For short-term storage (1-2 weeks), store at 4ºC. For long-term storage, aliquot and store at -20ºC or below. Avoid multiple freeze-thaw cycles.
- 克隆性:
Monoclonal
- 标记物:
Unconjugated
- 适应物种:
Human
- 保质期:
12 months from the shipping date of the product.
- 抗原来源:
Human
- 目录编号:
GTX60490
- 级别:
Primary Antibodies
- 库存:
Available
- 供应商:
GeneTex
- 宿主:
Mouse
- 应用范围:
WB, IHC-P, ELISA
- 靶点:
c-Kit
- 抗体英文名:
c-Kit antibody [1C5]
- 抗体名:
c-Kit 抗体 [1C5]
- 规格:
100 μl
WB analysis of Jurkat (1) and HeLa (2) cell lysate using GTX60490 c-Kit antibody [1C5].
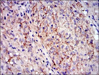
IHC-P analysis of gastrointestinal stromal tumor using GTX60490 c-Kit antibody [1C5].
ELISA analysis of antigen using GTX60490 c-Kit antibody [1C5].
Red : Control antigen 100ng
Purple : Antigen 10ng
Green : Antigen 50ng
Blue : Antigen 100ng
风险提示:丁香通仅作为第三方平台,为商家信息发布提供平台空间。用户咨询产品时请注意保护个人信息及财产安全,合理判断,谨慎选购商品,商家和用户对交易行为负责。对于医疗器械类产品,请先查证核实企业经营资质和医疗器械产品注册证情况。
文献和实验A c-Kit (2B8) FITC-IgG2b, 01904D FITC-IgG2b Isotype control, 11184C Fc RII block (clone 2.4G2), 01241D Media: Heat inactivated FBS (56°C x 30 min) PBS + 2% heat-inactivated
【讨论】Innate immunity: 'Natural helper' cells identified
that produce high levels of TH2-type cytokines, support B-1 B cell proliferation and promote goblet cell hyperplasia in response to helminth infection. 原文 Innate production of TH2 cytokines by adipose tissue-associated c-Kit+Sca-1+ lymphoid cells Abstract
【申请上传】Current Protocols in Immunology
Surgical Procedures Unit 1.9 Removal of Lymphoid Organs Unit 1.10 Survival Surgery: Removal of the Spleen or Thymus Unit 1.11 Surgical Removal of Mouse Salivary Glands Chapter 2 Induction of Immune Responses Introduction Section I Assays for Antibody
技术资料暂无技术资料 索取技术资料






![CEA antibody [Col-1] (ready-to-use)](https://img1.dxycdn.com/2022/0328/167/2146472583618300453-14.jpg!wh200)
![ARHGAP1 antibody [N1N3]](https://img1.dxycdn.com/2022/0328/729/1602310636704200453-14.jpg!wh200)

![Cytokeratin 7 antibody [N1C2]](https://img1.dxycdn.com/2022/0328/272/4586917324608200453-14.jpg!wh200)

