相关产品推荐更多 >
万千商家帮你免费找货
0 人在求购买到急需产品
- 详细信息
- 文献和实验
- 技术资料
- 免疫原:
Purified recombinant fragment of human LMNA expressed in E. Coli.
- 亚型:
IgG1
- 形态:
Liquid
- 保存条件:
Store as concentrated solution. Centrifuge briefly prior to opening vial. For short-term storage (1-2 weeks), store at 4ºC. For long-term storage, aliquot and store at -20ºC or below. Avoid multiple freeze-thaw cycles.
- 克隆性:
Monoclonal
- 标记物:
Unconjugated
- 适应物种:
Human, Mouse, Rat
- 保质期:
12 months from the shipping date of the product.
- 抗原来源:
Human
- 目录编号:
GTX60478
- 级别:
Primary Antibodies
- 库存:
Available
- 供应商:
GeneTex
- 宿主:
Mouse
- 应用范围:
WB, IHC-P, ELISA
- 靶点:
Lamin A
- 抗体英文名:
Lamin A antibody [4E7]
- 抗体名:
Lamin A 抗体 [4E7]
- 规格:
100 μl
WB analysis of Raw264.7 (1), PC-12 (2), THP-1 (3), A431 (4), MCF-7 (5) and Jurkat (6) cell lysate using GTX60478 Lamin A antibody [4E7].
ELISA analysis of antigen using GTX60478 Lamin A antibody [4E7].
Red : Control antigen 100ng
Purple : Antigen 10ng
Green : Antigen 50ng
Blue : Antigen 100ng
WB analysis of human LMNA (AA: 212-477) recombinant protein using GTX60478 Lamin A antibody [4E7].
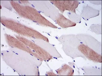
IHC-P analysis of human striated muscle tissue using GTX60478 Lamin A antibody [4E7].
风险提示:丁香通仅作为第三方平台,为商家信息发布提供平台空间。用户咨询产品时请注意保护个人信息及财产安全,合理判断,谨慎选购商品,商家和用户对交易行为负责。对于医疗器械类产品,请先查证核实企业经营资质和医疗器械产品注册证情况。
文献和实验HPV E6 (38) AAGAGGUAUAUGACUUUGCUU CaSKi, SiHa, NDF, HCT116 HPV E7 (38)
-nucleotide polymorphism. We were also able to knock-down two genes simultaneously (e.g. lamin A/C and NuMA) by using equal concentrations of siRNA duplexes.We recommend to blast-search (NCBI database) the selected siRNA sequence against EST libraries
contained a single-nucleotide polymorphism. We were also able to knock-down two genes simultaneously (e.g. lamin A/C and NuMA) by using equal concentrations of siRNA duplexes.We recommend to blast-search (NCBI database) the selected siRNA sequence
技术资料暂无技术资料 索取技术资料







![Peptide YY antibody [1]](https://img1.dxycdn.com/2022/0329/425/6718872313857020453-14.jpg!wh200)

![RAB11B antibody [N1C3]](https://img1.dxycdn.com/2022/0328/327/6127700374392300453-14.jpg!wh200)

