相关产品推荐更多 >
万千商家帮你免费找货
0 人在求购买到急需产品
- 详细信息
- 文献和实验
- 技术资料
- 免疫原:
Recombinant fusion protein containing a sequence corresponding to amino acids 247-416 of human CSNK1E (NP_689407.1).
- 亚型:
IgG
- 形态:
Liquid
- 保存条件:
Store as concentrated solution. Centrifuge briefly prior to opening vial. For short-term storage (1-2 weeks), store at 4ºC. For long-term storage, aliquot and store at -20ºC or below. Avoid multiple freeze-thaw cycles.
- 克隆性:
Polyclonal
- 标记物:
Unconjugated
- 适应物种:
Human, Mouse, Rat
- 保质期:
12 months from the shipping date of the product.
- 抗原来源:
Human
- 目录编号:
GTX55549
- 级别:
Primary Antibodies
- 库存:
Available
- 供应商:
GeneTex
- 宿主:
Rabbit
- 应用范围:
WB, ICC/IF, IHC-P
- 浓度:
Batch dependent (Please refer to the vial label for the specific concentration.)
- 靶点:
Casein Kinase 1 epsilon
- 抗体英文名:
Casein Kinase 1 epsilon antibody
- 抗体名:
Casein Kinase 1 epsilon 抗体
- 规格:
100 μl
ICC/IF analysis of HeLa cells using GTX55549 Casein Kinase 1 epsilon antibody.
Blue : DAPI
WB analysis of various sample lysates using GTX55549 Casein Kinase 1 epsilon antibody.
Dilution : 1:1000
Loading : 25μg per lane
IHC-P analysis of mouse brain tissue using GTX55549 Casein Kinase 1 epsilon antibody.
Dilution : 1:200
WB analysis of normal (control) and knockout (KO) HeLa cell lysate using GTX55549 Casein Kinase 1 epsilon antibody.
Dilution : 1:1000
Loading : 25μg per lane
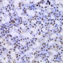
IHC-P analysis of rat pancreas tissue using GTX55549 Casein Kinase 1 epsilon antibody.
Dilution : 1:200
风险提示:丁香通仅作为第三方平台,为商家信息发布提供平台空间。用户咨询产品时请注意保护个人信息及财产安全,合理判断,谨慎选购商品,商家和用户对交易行为负责。对于医疗器械类产品,请先查证核实企业经营资质和医疗器械产品注册证情况。
文献和实验Using Phospho‐Motif Antibodies to Determine Kinase Substrates
comprising both the phosphorylated residue and the surrounding residues that determine kinase specificity, with degenerate residues taking up the remaining positions. Currently, several categories of phospho?motif antibody are commercially available
-6 Casein Kinase I epsilon and delta (CKI-epsilon and CKI-delta) (17) 520-538 AACUGGGGAAGAAGGGCAACC HEK
(1995) The 14-3-3 family of proteins plays a role in a wide variety of cellular functions including regulation of protein kinase C and exocytosis. Using antisera specific for the N termini of 14-3-3 isoforms described previously and an additional
技术资料暂无技术资料 索取技术资料







![Nesprin 2 antibody [C3], C-term](https://img1.dxycdn.com/2022/0328/269/6158343673414300453-14.jpg!wh200)
![CXCR5 antibody [C1C2], Internal](https://img1.dxycdn.com/2022/0328/115/8744594070443200453-14.jpg!wh200)
![CEA antibody [1106]](https://img1.dxycdn.com/2022/0328/622/9214928480017300453-14.jpg!wh200)

