相关产品推荐更多 >
万千商家帮你免费找货
0 人在求购买到急需产品
- 详细信息
- 文献和实验
- 技术资料
- 免疫原:
Recombinant protein encompassing a sequence within the N-terminus region of mouse TET1. The exact sequence is proprietary.
- 亚型:
IgG
- 形态:
Liquid
- 保存条件:
Store as concentrated solution. Centrifuge briefly prior to opening vial. For short-term storage (1-2 weeks), store at 4ºC. For long-term storage, aliquot and store at -20ºC or below. Avoid multiple freeze-thaw cycles.
- 克隆性:
Polyclonal
- 标记物:
Unconjugated
- 适应物种:
Human, Mouse
- 保质期:
12 months from the shipping date of the product.
- 抗原来源:
Mouse
- 目录编号:
GTX125888
- 级别:
Primary Antibodies
- 库存:
Available
- 供应商:
GeneTex
- 宿主:
Rabbit
- 应用范围:
WB, ICC/IF, IHC-P, IHC-Wm, IP, ChIP assay
- 浓度:
1 mg/ml (Please refer to the vial label for the specific concentration.)
- 靶点:
Knockdown/Knockout validation was supported by references (PMID: 29513657)
- 抗体英文名:
TET1 antibody [N1], N-term
- 抗体名:
TET1 抗体 [N1], N-term
- 规格:
100 μl
TET1 antibody [N1], N-term detects TET1 protein at nucleus by immunofluorescent analysis.
Sample: HepG2 cells were fixed in 4% PFA at RT for 15 min.
Green: TET1 protein stained by TET1 antibody [N1], N-term (GTX125888) diluted at 1:500.
Blue: Hoechst 33342 staining.
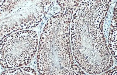
TET1 antibody [N1], N-term detects TET1 protein at nucleus by immunohistochemical analysis.
Sample: Paraffin-embedded mouse testis.
TET1 stained by TET1 antibody [N1], N-term (GTX125888) diluted at 1:500.
Antigen Retrieval: Citrate buffer, pH 6.0, 15 min
Western blot analysis of 293T cell are mock transfected (lane1) or with tagged-mTet1 (lane 2) for 24hrs, using either GTX125888 (diluted at 1:2000) (A) or anti-tag (B) antibody. The HRP-conjugated anti-rabbit IgG antibody (GTX213110-01) was used to detect the primary antibody.
TET1 antibody detects TET1 protein by western blot analysis. Non-transfected (-) and mouse TET1-transfected (+, including DDDDK-tag) 293T whole cell extracts (30 μg) were separated by 5% SDS-PAGE, and the membrane was blotted with TET1 antibody (GTX125888) at a dilution of 1:20000. The HRP-conjugated anti-rabbit IgG antibody (GTX213110-01) was used to detect the primary antibody.
风险提示:丁香通仅作为第三方平台,为商家信息发布提供平台空间。用户咨询产品时请注意保护个人信息及财产安全,合理判断,谨慎选购商品,商家和用户对交易行为负责。对于医疗器械类产品,请先查证核实企业经营资质和医疗器械产品注册证情况。
文献和实验Stephanie Chrysanthou et al., Cells 2022 (PMID:35456045)
Chrysanthou S et al., Nucleic Acids Res 2022 (PMID:35150568)
Arand J et al., EMBO Rep 2021 (PMID:34866320)
Huang Z et al., Sci Adv 2021 (PMID:33523915)
Luo X et al., Genes Dev 2020 (PMID:32115407)
Kim KP et al., Sci Adv 2020 (PMID:32917606)
Senner CE et al., Stem Cell Reports 2020 (PMID:32442533)
Bartoccetti M et al., Cell Rep 2020 (PMID:32075734)
Bai M et al., Oncogene 2018 (PMID:29921847)
Cui Y et al., Oncotarget 2016 (PMID:27449105)
Chrysanthou S et al., Stem Cell Reports 2018 (PMID:29576538)
Hill PWS et al., Nature 2018 (PMID:29513657)
Coluccio A et al., Epigenetics Chromatin 2018 (PMID:29482634)
Kang J et al., Proc Natl Acad Sci U S A 2015 (PMID:26199412)
Huang X et al., bioRxiv 2023 (PMID:36993548)
Xin Huang et al., Cell Rep 2022 (PMID:35675764)
In the field of therapeutic recombinant proteins, monoclonal antibodies (mAbs) have achieved a rising success with more than 30 mAbs that have reached the market in the past 20 years. From a structural standpoint, one of the most important
in pEGFP-N1 is between the immediate early promoter of CMV (PCMV IE ) and the EGFP coding sequences. Genes cloned into the MCS will be expressed as fusions to the N-terminus of EGFP if they are in the same reading frame as EGFP and there are no intervening
to protect the antibody. These should be stored in smaller aliquots (about 1 ml) and frozen for long term storage though the protected solution is also stable for months at four degrees. Ascites fluid: This is a bit more problematic as it may contain
技术资料暂无技术资料 索取技术资料








![NSE antibody [AT17D10]](https://img1.dxycdn.com/2022/0328/839/7864098979070800453-14.jpg!wh200)
![delta Sarcoglycan antibody [AT19G8]](https://img1.dxycdn.com/2022/0328/750/7574551045510500453-14.jpg!wh200)

