相关产品推荐更多 >
万千商家帮你免费找货
0 人在求购买到急需产品
- 详细信息
- 文献和实验
- 技术资料
- 免疫原:
Recombinant fusion protein containing a sequence corresponding to amino acids 1-357 of human SORD (NP_003095.2).
- 亚型:
IgG
- 形态:
Liquid
- 保存条件:
Store as concentrated solution. Centrifuge briefly prior to opening vial. For short-term storage (1-2 weeks), store at 4ºC. For long-term storage, aliquot and store at -20ºC or below. Avoid multiple freeze-thaw cycles.
- 克隆性:
Polyclonal
- 标记物:
Unconjugated
- 适应物种:
Human, Mouse
- 保质期:
12 months from the shipping date of the product.
- 抗原来源:
Human
- 目录编号:
GTX54728
- 级别:
Primary Antibodies
- 库存:
Available
- 供应商:
GeneTex
- 宿主:
Rabbit
- 应用范围:
WB, ICC/IF, IHC-P
- 浓度:
Batch dependent (Please refer to the vial label for the specific concentration.)
- 靶点:
Sorbitol Dehydrogenase
- 抗体英文名:
Sorbitol Dehydrogenase antibody
- 抗体名:
Sorbitol Dehydrogenase 抗体
- 规格:
100 μl
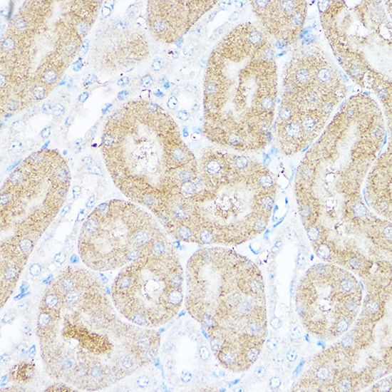
IHC-P analysis of mouse kidney tissue using GTX54728 Sorbitol Dehydrogenase antibody.
Dilution : 1:25
ICC/IF analysis of MCF7 cells using GTX54728 Sorbitol Dehydrogenase antibody.
Blue : DAPI
WB analysis of various sample lysates using GTX54728 Sorbitol Dehydrogenase antibody.
Dilution : 1:500
Loading : 25μg per lane
风险提示:丁香通仅作为第三方平台,为商家信息发布提供平台空间。用户咨询产品时请注意保护个人信息及财产安全,合理判断,谨慎选购商品,商家和用户对交易行为负责。对于医疗器械类产品,请先查证核实企业经营资质和医疗器械产品注册证情况。
文献和实验Evaluation of Antibody-Dependent Cell Cytotoxicity Using Lactate Dehydrogenase (LDH) Measurement
In order to improve therapeutic antibodies efficacy in cancer patients, several strategies were developed. One of these strategies consists in the enhancement of effector functions. Antibody-dependent cellular cytotoxicity (ADCC) was shown
mls of PBS. Put 200 ul (3 mg/ml) of the antibody to an eppendorf tube. Add 0.8 mls of PBS. Pellet 1 ml of the cell suspension and discard the PBS supernatant. Add the antibody solution to the cell pellet, gently resuspend the cells
Antibody cleanup In order to decrease the amount of nonspecific staining, it is often necessary to preabsorb primary and secondary antibodies to yeast cells lacking the antigen prior to use. A 1:1 mixture of fixed yeast
技术资料暂无技术资料 索取技术资料











