相关产品推荐更多 >
万千商家帮你免费找货
0 人在求购买到急需产品
- 详细信息
- 文献和实验
- 技术资料
- 亚型:
IgG1
- 形态:
Liquid
- 保存条件:
Store as concentrated solution. Centrifuge briefly prior to opening vial. Store at 4ºC.
- 克隆性:
Monoclonal
- 标记物:
Biotin
- 适应物种:
Species independent
- 保质期:
12 months from the shipping date of the product.
- 目录编号:
GTX22704
- 级别:
Primary Antibodies
- 库存:
Available
- 供应商:
GeneTex
- 宿主:
Mouse
- 应用范围:
ICC/IF, IHC-P, IHC
- 浓度:
Batch dependent (Please refer to the vial label for the specific concentration.)
- 靶点:
This antibody recognizes bromodeoxuridine (BrdU).
- 抗体英文名:
BrdU antibody [BrdU007] (ready-to-use) (Biotin)
- 抗体名:
BrdU 抗体 [BrdU007] (ready-to-use) (Biotin)
- 规格:
6 ml
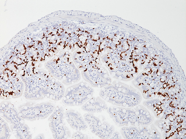
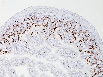
Bromodeoxyuridine positive mouse intestine stained with anti-BrdU antibody (GTX22704).
风险提示:丁香通仅作为第三方平台,为商家信息发布提供平台空间。用户咨询产品时请注意保护个人信息及财产安全,合理判断,谨慎选购商品,商家和用户对交易行为负责。对于医疗器械类产品,请先查证核实企业经营资质和医疗器械产品注册证情况。
文献和实验Labelling Drosophila pupae with BrdU
Labelling Drosophila pupae with BrdU ITO Kei, 1992 October COLLECTING STAGED PUPAE 1. Prepare a couple of bottles containing late 3rd instar larvae, which wander on the botlle wall (110-120 hours after egg laying at 25 C
since they become less dense). Add anti-BrdU-FITC or biotin (1:20 dilution for Phoenix flow). Pipette up and down to resuspend pellet. Incubate for 30 minutes on ice (or overnight at 4°C). Wash and dump as before. Transfer cells into FACS tubes.
a variety of cellular sources from human olfactory epithelium (Hahn et al., 2005) and neural progenitors (Nieoullon et al., 2005) to neural stem cells (Chu et al., 2004). BrdU antibody from Abcam Identification of the labelled cells can be applied
技术资料暂无技术资料 索取技术资料






![VCP antibody [N3C2], Internal](https://img1.dxycdn.com/2022/0328/130/6900660598859200453-14.jpg!wh200)

![Cytokeratin 19 antibody [A53-B/A2] (Biotin)](https://img1.dxycdn.com/2022/0328/983/1990428026616500453-14.jpg!wh200)

