相关产品推荐更多 >
万千商家帮你免费找货
0 人在求购买到急需产品
- 详细信息
- 文献和实验
- 技术资料
- 免疫原:
Recombinant fusion protein containing a sequence corresponding to amino acids 25-315 of human SERPINA1 (NP_000286.3).
- 亚型:
IgG
- 形态:
Liquid
- 保存条件:
Store as concentrated solution. Centrifuge briefly prior to opening vial. For short-term storage (1-2 weeks), store at 4ºC. For long-term storage, aliquot and store at -20ºC or below. Avoid multiple freeze-thaw cycles.
- 克隆性:
Polyclonal
- 标记物:
Unconjugated
- 适应物种:
Human, Mouse, Rat
- 保质期:
12 months from the shipping date of the product.
- 抗原来源:
Human
- 目录编号:
GTX54713
- 级别:
Primary Antibodies
- 库存:
Available
- 供应商:
GeneTex
- 宿主:
Rabbit
- 应用范围:
WB, ICC/IF, IHC-P
- 浓度:
Batch dependent (Please refer to the vial label for the specific concentration.)
- 靶点:
alpha 1 Antitrypsin
- 抗体英文名:
alpha 1 Antitrypsin antibody
- 抗体名:
alpha 1 Antitrypsin 抗体
- 规格:
100 μl
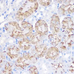
IHC-P analysis of mouse kidney tissue using GTX54713 alpha 1 Antitrypsin antibody.
Dilution : 1:100
ICC/IF analysis of PC-12 cells using GTX54713 alpha 1 Antitrypsin antibody.
Blue : DAPI
Dilution : 1:100
WB analysis of various sample lysates using GTX54713 alpha 1 Antitrypsin antibody.
Dilution : 1:1000
Loading : 25μg per lane
风险提示:丁香通仅作为第三方平台,为商家信息发布提供平台空间。用户咨询产品时请注意保护个人信息及财产安全,合理判断,谨慎选购商品,商家和用户对交易行为负责。对于医疗器械类产品,请先查证核实企业经营资质和医疗器械产品注册证情况。
文献和实验In situ hybridisation to alpha satellite sequences (chromosome specific)
Alpha satellite sequences, whilst highly repetitive, are specific to each individual chromosome. These sequences flank the centromeres and can present a target measured in megabases. In this protocol a biotin or digoxigenin labelled DNA
人a1-抗胰蛋白酶(a1-Antitrypsin)ELISA试剂盒 说明书
上海西唐生物科技有限公司 021-55229872, 65333639 www.westang.com 人 a 1- 抗胰蛋白酶 ( a 1-Antitrypsin)ELISA 试剂盒 ( 用于血清、血浆、细胞培养上清液和尿液生物体液内 ) 原理 本实验采用双抗体夹心 ABC-ELISA 法。用抗人 a 1-Antitrypsin 单抗包被于酶标板上,标准品和样品中的 a 1
Ier1 p: A Kinase and Site-Specific Endoribonuclease
fibrosis, alpha1-antitrypsin deficiency, and osteogenesis imperfecta (2 ). One way in which cells cope with the accumulation of unfolded proteins in the ER is by activating the unfolded protein response (UPR), an ER-to-nucleus signal transduction pathway
技术资料暂无技术资料 索取技术资料








![Collagen I + Collagen II + Collagen III antibody [HL2048 + HL1907]](https://custom.dxycdn.com/trademd/upload/pic/2013/11/12/A1383891150.jpg!small.t.1)


