相关产品推荐更多 >
万千商家帮你免费找货
0 人在求购买到急需产品
- 详细信息
- 文献和实验
- 技术资料
- 免疫原:
Human monocytes (epitope recognized SRCR domain 9)
- 亚型:
IgG1
- 形态:
Liquid
- 保存条件:
Store as concentrated solution. Centrifuge briefly prior to opening vial. Store at 4ºC.
- 克隆性:
Monoclonal
- 标记物:
Unconjugated
- 适应物种:
Human, Mouse, Monkey
- 保质期:
12 months from the shipping date of the product.
- 抗原来源:
Human
- 目录编号:
GTX54458
- 级别:
Primary Antibodies
- 库存:
Available
- 供应商:
GeneTex
- 宿主:
Mouse
- 应用范围:
WB, ICC/IF, IHC-P, IHC-Fr, FACS, IP, Neutralizing/Inhibition
- 浓度:
100 μg/ml (Please refer to the vial label for the specific concentration.)
- 靶点:
The RM3/1 antigen expression is restricted to human monocytes and macrophages that evolve in the late phase of inflammation, predominantly macrophages of healing tissue.,We do not recommend use of this product for Guinea pig,Pig,Rat.
- 抗体英文名:
CD163 antibody [RM3/1]
- 抗体名:
CD163 抗体 [RM3/1]
- 规格:
50 μg
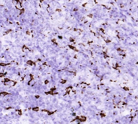
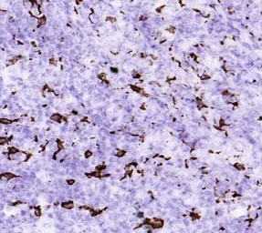
IHC-Fr analysis of human interfollicular tissue of tonsil section using GTX54458 CD163 antibody [RM3/1].
FACS analysis of THP-1 cells using GTX54458 CD163 antibody [RM3/1].
Black : Cell only control
Red : Isotype control
Blue : Primary antibody
Antibody amount : 2 μg / 2.5x10⁵ cells
风险提示:丁香通仅作为第三方平台,为商家信息发布提供平台空间。用户咨询产品时请注意保护个人信息及财产安全,合理判断,谨慎选购商品,商家和用户对交易行为负责。对于医疗器械类产品,请先查证核实企业经营资质和医疗器械产品注册证情况。
文献和实验Jing Y et al., IUBMB Life 2021 (PMID:34117711)
Kobori T et al., Front Immunol 2018 (PMID:29559970)
Hamasaki S et al., Sci Rep 2018 (PMID:29651042)
Ashenafi S et al., Am J Pathol 2022 (PMID:35092727)
人可溶性CD163分子(sCD163)ELISA试剂盒 说明书
人可溶性CD163 分子 ( sCD163 )ELISA 试剂盒 ( 用于血清、血浆、细胞培养上清液和其它生物体液内 ) 原理 本实验采用双抗体夹心 ABC-ELISA 法。用抗人 sCD163 单抗包被于酶标板上,标准品和样品中的 sCD163与单抗结合,加入生物素化的抗人 sCD163 ,形成免疫复合物连接在板上,辣根过氧化物酶标记的 Streptavidin 与生物素结合,加入底物工作液显蓝色,最后
S ci. 4 , 803-807. 20. L i a n g , , W u , F. S . , W a n g , D. W , , S u n , D. F. a n d J i a , X . ( 2005 ) W h ea t tra n sfo rm a tio n b y (declropora tio n w ith rin g electro d e. Yi Chuan Xue Bao 32, 66-71
Intracellular Cytokine Staining Protocol
anti-cytokine antibodies with excess amounts of unlabeled antibody. Alternatively, recombinant cytokines can be used for blocking.eBioscience antibodies are available as Functional Grade (FG) Purified (sterile, endotoxin-tested, no azide), Purified
技术资料暂无技术资料 索取技术资料





![NPR-C antibody [N3C3]](https://img1.dxycdn.com/2022/0328/635/5167998756518200453-14.jpg!wh200)





