相关产品推荐更多 >
万千商家帮你免费找货
0 人在求购买到急需产品
- 详细信息
- 文献和实验
- 技术资料
- 免疫原:
Purified porcine surfactant protein D
- 亚型:
IgG1
- 形态:
Liquid
- 保存条件:
Store as concentrated solution. Centrifuge briefly prior to opening vial. For short-term storage (1-2 weeks), store at 4ºC. For long-term storage, aliquot and store at -20ºC or below. Avoid multiple freeze-thaw cycles.
- 克隆性:
Monoclonal
- 标记物:
Unconjugated
- 适应物种:
Pig
- 保质期:
12 months from the shipping date of the product.
- 抗原来源:
Pig
- 目录编号:
GTX39355
- 级别:
Primary Antibodies
- 库存:
Available
- 供应商:
GeneTex
- 宿主:
Mouse
- 应用范围:
WB, ICC/IF, IHC-P, IHC-Fr
- 浓度:
1.0 mg/ml (Please refer to the vial label for the specific concentration.)
- 靶点:
Surfactant Protein D
- 抗体英文名:
Surfactant Protein D antibody [1.7]
- 抗体名:
Surfactant Protein D 抗体 [1.7]
- 规格:
250 μg
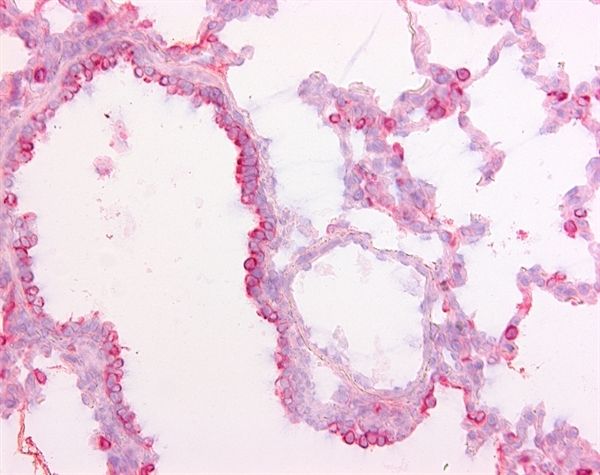
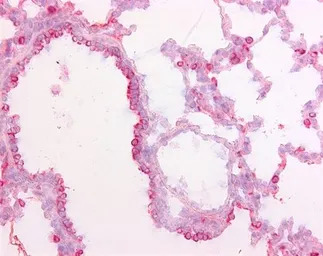
IHC-Fr analysis of pig lung tissue using GTX39355 Surfactant Protein D antibody [1.7].
风险提示:丁香通仅作为第三方平台,为商家信息发布提供平台空间。用户咨询产品时请注意保护个人信息及财产安全,合理判断,谨慎选购商品,商家和用户对交易行为负责。对于医疗器械类产品,请先查证核实企业经营资质和医疗器械产品注册证情况。
文献和实验Purification of Surfactant Protein D (SP-D) from Pooled Amniotic Fluid and Bronchoalveolar Lavage
Surfactant protein SP-D is a multimeric collagenous lectin, called collectin . SP-D is a multifunctional, pattern recognition innate immune molecule, which binds in a calcium dependent manner to an array of carbohydrates and lipids
Analysis of Protein Complexes by 2D Blue Native/SDSPAGE and Antibody-Shift Assay
Blue native polyacrylamide gel electrophoresis (BN-PAGE) is a powerful strategy for the separation of native multiprotein complex (MPC). Combined with other techniques, such as SDS–PAGE, immunoblotting, mass spectrometry, and antibody-shift
ANTIBODY BINDING TO PROTEIN A AND PROTEIN G
. A physicochemical study f protein G, a molecule with unique immunoglobulin G-binding properties. J. Biol. Chem. 261:10240-10247. Harlow, E. and Lane, D. 1988. Antibodies. A laboratory manual. Cold Spring Harbor Laboratory. Kronvall, G., Seal, U. S
技术资料暂无技术资料 索取技术资料






![Nucleolin antibody [SPM614]](https://img1.dxycdn.com/2022/0328/297/2308654389770700453-14.jpg!wh200)




